Arstid ja asutused
Vastab spetsialist
Koolitused
Hambaravialased artiklid
Hambaravisõnastik
Videod
Kuulutused
Hambarobot
Ajaviide
Logi sisse
Otsi
Arstid ja asutused
Vastab spetsialist
Hambarobot
Koolitused
Artiklid
Videod
Sõnastik
Kuulutused
Ajaviide
Logi sisse
OK
Näita parooli
* * *
Parooli saad muuta
oma konto lehel
Unustasin parooli
Hambarobot
Sümptomid
Pildid
Suuhaigused
Juhend
Vali sind huvitav pilt ja me näitame sellega seotud haigust ja sümptomeid
Haavandid
Igemed
Hambad
Keel
Limaskest/huuled
Valud
Üldhaigused
Hambakaaries
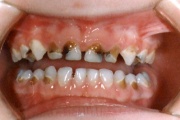
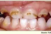
Lutipudelikaariese kahjustused
Lutipudelikaaries
Lutipudelikaaries
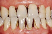
Krooniline parodontiit
ANUG (äge nekrotiseeruv haavandiline gingiviit/parodontiit)
Parodontiit
Laste ja noorukite söömishäired. Anorexia nervosa, Bulimia nervosa
Laste ja noorukite söömishäired. Anorexia nervosa, Bulimia nervosa
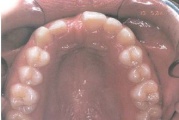
Ravijärgne seis. Jäävhammas on täielikult lõikunud.
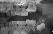
) Röntgenülesvõte. Ülemise esimese jäävmolaari lõikumine on takistatud 2. piimamolaari tõttu
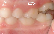
Esimese jäävmolaari ektoopiline lõikumine
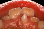
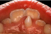
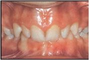
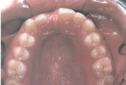
Koonilise kujuga lisahammas ülemiste tsentraalsete lõikehammaste vahel.
Suulaepoolt lõikunud koonilise kujuga lisahammas
Sügav hambumus
Normaalne lõikumise järjekord 7,5-aastselt:
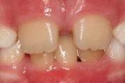
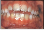
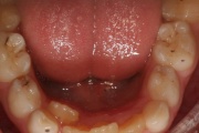
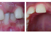
Puudub ülemine tsentraalne intsisiiv, kuid külgmised lõikehambad on juba lõikunud.
Turritavad ülemised lõikehambad.
Ülemise hambakaare kitsenemine ehk tagumiste hammaste risthambumus.
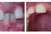
Avulsioon
eesmine lahihambumus
Trauma klassifikatsioon 1 (Mitsuhiro Tsukiboshi,DDS)
Trauma klassifikatsioon 2 (Mitsuhiro Tsukiboshi,DDS)
prognaatne hambumus, ülemised eeshambad on ettepoole alumiste suhtes ja eest
progeenne hambumus; alumised eeshambad on ettepoole ülemiste suhtes;
lahihambumus, kui kontaktis on ainult molaarid ehk tagahambad
peetunud lõike- või silmahambad; hambad on küll olemas kuid nad on peetunud
kui puudub lõike- või silmahammas või rohkem kui üks hammas lõualuu ühel poolel
alumine hambakaar on laiem ülemisest
ülemine hambakaar on alumisest laiem nõnda palju, et hambad kokku ei puutu
Kaasasündinud hammaste puudumine
Infantiilne neelamine
ruumipuudus eesmiste hammaste osas
Ruumipuudus eesmiste hammaste osas
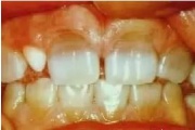
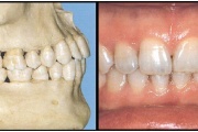
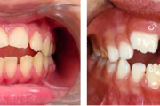
Normaalse jäävhammaskonna pilt küljelt ja eest vaadatuna.
alumine hambakaar on laiem ülemisest
ülemine hambakaar on alumisest laiem nõnda palju, et hambad kokku ei puutu
ettepoole ulatuvad alumised eeshambad
ettepoole ulatuvad ülahambad
eeshambad ei ulatu kokku
ülemised eeshambad katavad täielikult alumisi
progeenne hambumus; alumised eeshambad on ettepoole ülemiste suhtes;
Pöidla imemise mõju
Tetratsükliini liigtarbimise tõttu värvunud hambad
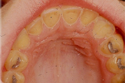
Fluoroos
Fluoroosi
Hammaste defektid
Hambaanomaaliad
Suulaepoolt lõikunud koonilise kujuga lisahammas
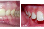
Puudub ülemine tsentraalne intsisiiv
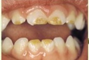
amelogenesis imperfecta
Emaili hüpoplaasiad
muutused hammaste kujus
Amelogenesis Imperfecta
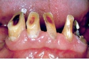
Hamba atritsioon
kaaries igemeäärel
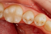
kaaries
kaaries
NB! Meie leht kasutab küpsiseid (cookies) veebiliikluse analüüsimiseks ning kasutajakogemuse parandamiseks. Jätkates veebilehe kasutamist, nõustud küpsiste salvestamisega sinu arvutisse.
Olen nõus
Eesti
Hambaarstide
Liit
EHL
Eesti
Suuhügienistide
Liit
ESHL
Eesti
Hambaraviõdede
Seltsing
HÕS
Suutervis
koolis
Kiku