Hambarobot

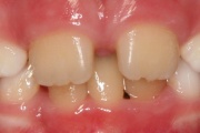
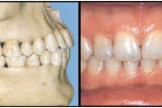
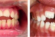
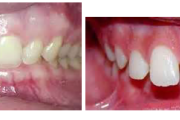
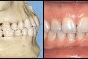
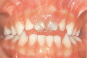
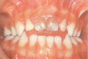
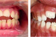
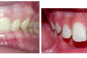
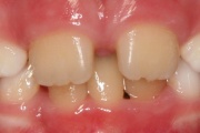
ülemine hambakaar on alumisest laiem nõnda palju, et hambad kokku ei puutu
ülemine hambakaar on alumisest laiem nõnda palju, et hambad kokku ei puutu
pilt pilt pilt pilt pilt pilt pilt pilt pilt
NB! Meie leht kasutab küpsiseid (cookies) veebiliikluse analüüsimiseks ning kasutajakogemuse parandamiseks. Jätkates veebilehe kasutamist, nõustud küpsiste salvestamisega sinu arvutisse.