Hambarobot

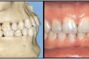
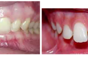
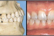
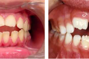
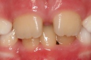
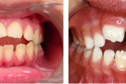
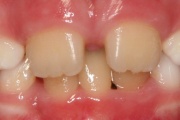
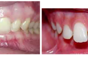
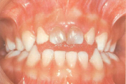
Turritavad ülemised lõikehambad.
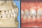
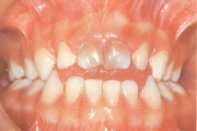
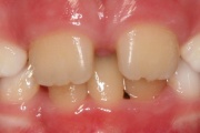
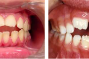
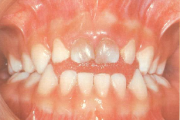
Turritavad ülemised lõikehambad.
pilt pilt pilt pilt pilt pilt pilt pilt pilt
NB! Meie leht kasutab küpsiseid (cookies) veebiliikluse analüüsimiseks ning kasutajakogemuse parandamiseks. Jätkates veebilehe kasutamist, nõustud küpsiste salvestamisega sinu arvutisse.