Hambarobot

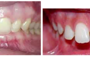
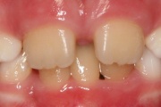
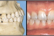
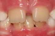
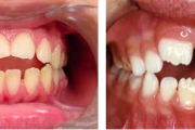
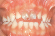
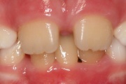
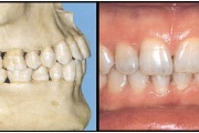
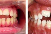
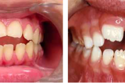
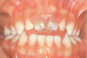
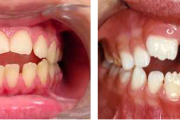
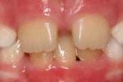
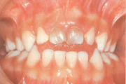
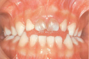
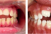
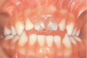
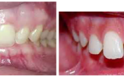
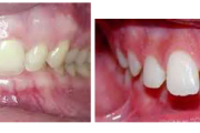
Ülemise hambakaare kitsenemine ehk tagumiste hammaste risthambumus.
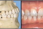
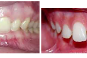
Ülemise hambakaare kitsenemine ehk tagumiste hammaste risthambumus.
pilt pilt pilt pilt pilt pilt pilt pilt pilt
NB! Meie leht kasutab küpsiseid (cookies) veebiliikluse analüüsimiseks ning kasutajakogemuse parandamiseks. Jätkates veebilehe kasutamist, nõustud küpsiste salvestamisega sinu arvutisse.