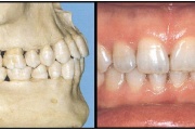
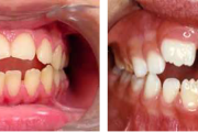
Peavalu ja hambumus
Põhimõtted – Hambaarsti konsultatsioon on vajalik juhul, kui peavalu kaebaval patsiendil on • lõua liikumisega seoses olevaid vaevusi • lõua liikumisel häireid või helisid • palpatoorne valulikkus lõualiigestes või mälumislihastes • ilma patoloogilisekõrva- või neeluleiuta Loe edasi »