Hambarobot

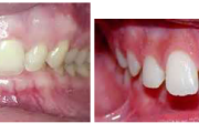
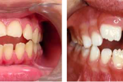
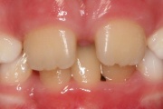
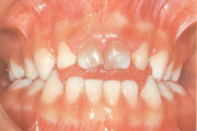
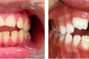
Normaalse jäävhammaskonna pilt küljelt ja eest vaadatuna.
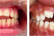
Normaalse jäävhammaskonna pilt küljelt ja eest vaadatuna.
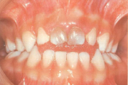
pilt pilt pilt pilt pilt pilt pilt pilt pilt
NB! Meie leht kasutab küpsiseid (cookies) veebiliikluse analüüsimiseks ning kasutajakogemuse parandamiseks. Jätkates veebilehe kasutamist, nõustud küpsiste salvestamisega sinu arvutisse.