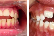
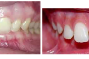
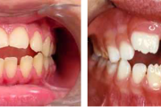
Hambarobot

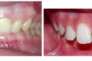
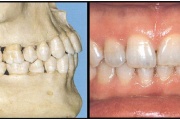
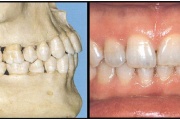
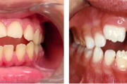
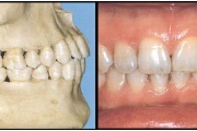
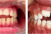
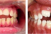
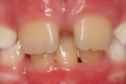
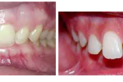
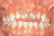
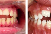
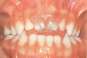
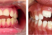
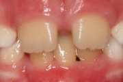
progeenne hambumus; alumised eeshambad on ettepoole ülemiste suhtes;
progeenne hambumus; alumised eeshambad on ettepoole ülemiste suhtes;
pilt pilt pilt pilt pilt pilt pilt pilt pilt
NB! Meie leht kasutab küpsiseid (cookies) veebiliikluse analüüsimiseks ning kasutajakogemuse parandamiseks. Jätkates veebilehe kasutamist, nõustud küpsiste salvestamisega sinu arvutisse.