Hambarobot

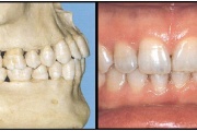
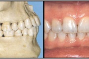
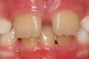
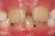
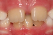
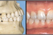
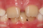
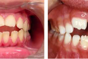
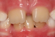
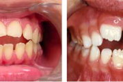
keeleots toetud neelatamise ja kõnelemise ajal eeshammaste vahele.
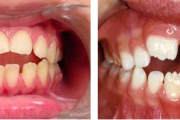
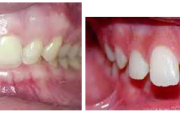
keeleots toetud neelatamise ja kõnelemise ajal eeshammaste vahele.
pilt pilt pilt pilt pilt pilt pilt pilt pilt
NB! Meie leht kasutab küpsiseid (cookies) veebiliikluse analüüsimiseks ning kasutajakogemuse parandamiseks. Jätkates veebilehe kasutamist, nõustud küpsiste salvestamisega sinu arvutisse.