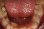
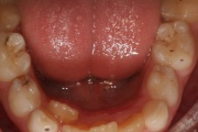
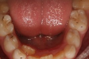
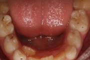
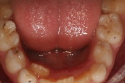
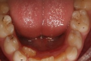
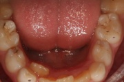
Ruumipuudus eesmiste hammaste osas
Ruumipuuduses ja viltuselt seisvad esihambad on sagedaseim põhjus, miks lapsevanem ise oma lapse ortodontid juurde toob. Lõualuude hea asetuse korral ei ole varane ravi vaheldusvas hammaskonnas ruumipuuduse korrigeerimiseks enamasti näidustatud, sest see probleem on sama hästi korrigeeritav Loe edasi »