Hambarobot

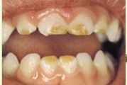
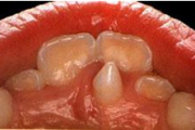
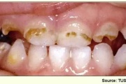
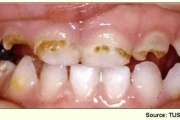
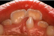
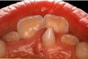
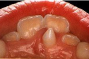
Puudub ülemine tsentraalne intsisiiv
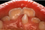
Puudub ülemine tsentraalne intsisiiv
pilt pilt pilt pilt pilt pilt pilt pilt pilt pilt pilt
NB! Meie leht kasutab küpsiseid (cookies) veebiliikluse analüüsimiseks ning kasutajakogemuse parandamiseks. Jätkates veebilehe kasutamist, nõustud küpsiste salvestamisega sinu arvutisse.