Hambarobot

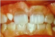
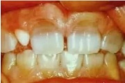
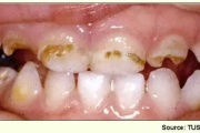
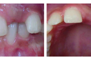
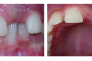
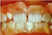
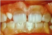
Suulaepoolt lõikunud koonilise kujuga lisahammas
Suulaepoolt lõikunud koonilise kujuga lisahammas
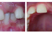
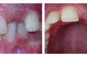
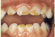
pilt pilt pilt pilt pilt pilt pilt pilt pilt pilt pilt
NB! Meie leht kasutab küpsiseid (cookies) veebiliikluse analüüsimiseks ning kasutajakogemuse parandamiseks. Jätkates veebilehe kasutamist, nõustud küpsiste salvestamisega sinu arvutisse.