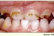
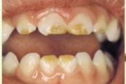
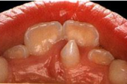
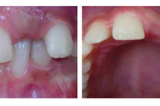
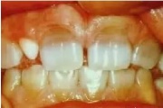
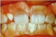
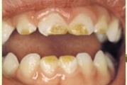
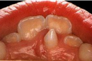
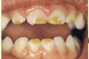
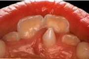
Hammaste arenguvead
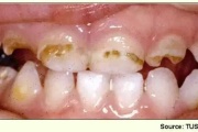
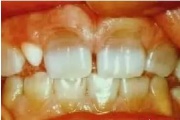
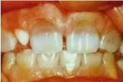
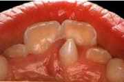
– Esimesed hambad lõikuvad tavaliselt umbes pooleaastaselt. Kui 1,5-aastasel lapsel pole lõikunud ühtegi hammast, siis tuleb alustada uuringutega. – Täielik hammaste puudumine (väga haruldane) kaasneb tavaliselt mõne sündroomiga ja nõuab lastearsti konsultatsiooni. – Kergekujulistest Loe edasi »