Hambarobot

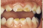
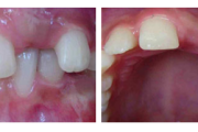
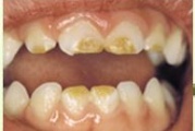
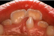
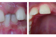
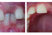
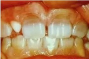
huule-suulaelõhe jt näo-lõualuusüsteemi kaasasündinud väärarengud
huule-suulaelõhe jt näo-lõualuusüsteemi kaasasündinud väärarengud
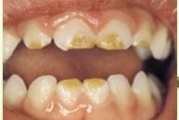
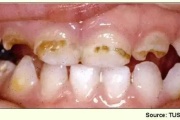
pilt pilt pilt pilt pilt pilt pilt pilt pilt pilt pilt
NB! Meie leht kasutab küpsiseid (cookies) veebiliikluse analüüsimiseks ning kasutajakogemuse parandamiseks. Jätkates veebilehe kasutamist, nõustud küpsiste salvestamisega sinu arvutisse.