Hambarobot

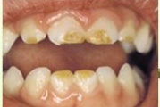
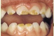
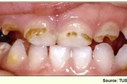
Tetratsükliini liigtarbimise tõttu värvunud hambad
Tetratsükliini liigtarbimise tõttu värvunud hambad
pilt pilt pilt pilt pilt pilt pilt pilt pilt pilt pilt
NB! Meie leht kasutab küpsiseid (cookies) veebiliikluse analüüsimiseks ning kasutajakogemuse parandamiseks. Jätkates veebilehe kasutamist, nõustud küpsiste salvestamisega sinu arvutisse.