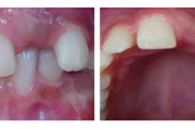
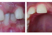
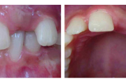
Ülemiste tsentraalsete lõikehammaste (intsisiivide) vahetumine. Retineerunud Intsisiiv
Ülemiste tsentraalsete lõikehammaste (intsisiivide) vahetumine. Retineerunud intsisiivid. Ülemised tsentraalsed esihambad lõikuvad orienteeruvalt 7-8-aastaselt. Enamasti lõikuvad samanimelised jäävhambad paaridena. Normaalne lõikumise järjekord 7,5-aastselt: vt pilti Loe edasi »