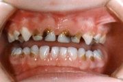
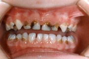
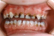
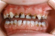
Lutipudelikaaries
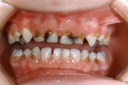
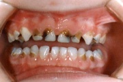
Lutipudelikaaries on tõsine, kuid ennetatav hammaste haigus, mis tekib siis, kui väikelapse hambad puutuvad liiga pikalt kokku süsivesinikega. Lutipudelikaariesest hoidumiseks: · Ära pane last voodisse pudeliga, milles on suhkrut sisaldavaid jooke (ka veega lahjendatud mahla) või piima. · Loe edasi »