Hambarobot

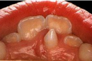
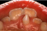
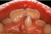
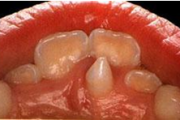
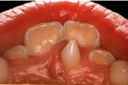
Koonilise kujuga lisahammas ülemiste tsentraalsete lõikehammaste vahel.
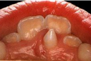
Koonilise kujuga lisahammas ülemiste tsentraalsete lõikehammaste vahel.
pilt
NB! Meie leht kasutab küpsiseid (cookies) veebiliikluse analüüsimiseks ning kasutajakogemuse parandamiseks. Jätkates veebilehe kasutamist, nõustud küpsiste salvestamisega sinu arvutisse.