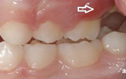
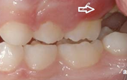
Esimeste molaaride (purihammaste) lõikumine
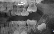
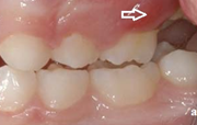
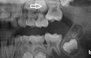
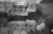
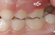
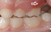
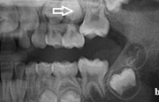
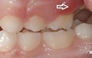
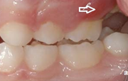
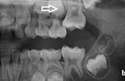
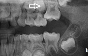
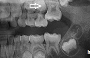
Esimeste molaaride (purihammaste) lõikumine. 1. molaaride ektoopilise lõikumise jälgimine. Ülemised ja alumised esimesed purihambad e. molaarid lõikuvad orienteeruvalt6-7-aastaselt piimahammaste rea lõppu. Enamasti lõikuvad samanimelised jäävhambad paaridena. Normaalne lõikumise Loe edasi »
            Sümptomid:
			
	- valehambumus (18)