Hambarobot

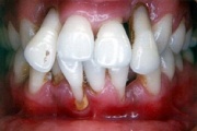
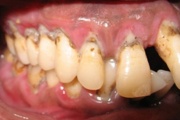
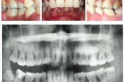
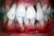
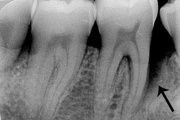
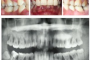
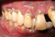
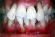
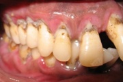
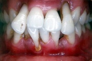
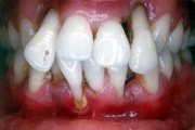
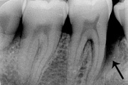
GAgP 25 aastasel suitsetaval patsiendil
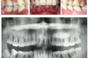
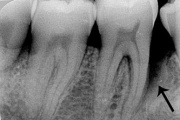
GAgP 25 aastasel suitsetaval patsiendil
pilt pilt pilt pilt pilt
NB! Meie leht kasutab küpsiseid (cookies) veebiliikluse analüüsimiseks ning kasutajakogemuse parandamiseks. Jätkates veebilehe kasutamist, nõustud küpsiste salvestamisega sinu arvutisse.