Hambarobot

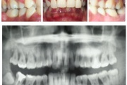
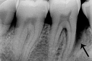
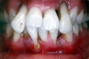
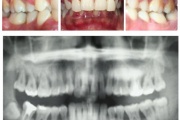
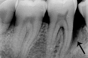
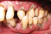
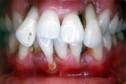
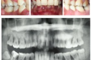
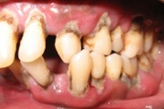
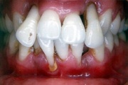
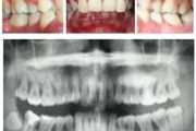
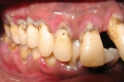
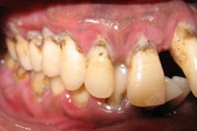
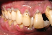
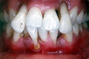
GAgP 25 aastasel suitsetaval puuduliku suuhügieeniga patsiendil
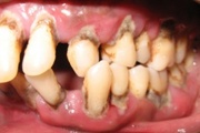
GAgP 25 aastasel suitsetaval puuduliku suuhügieeniga patsiendil
pilt pilt pilt pilt pilt
NB! Meie leht kasutab küpsiseid (cookies) veebiliikluse analüüsimiseks ning kasutajakogemuse parandamiseks. Jätkates veebilehe kasutamist, nõustud küpsiste salvestamisega sinu arvutisse.