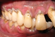
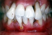
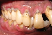
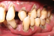
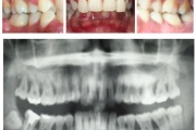
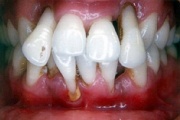
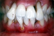
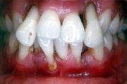
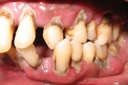
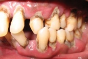
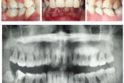
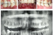
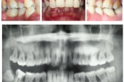
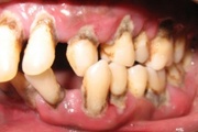
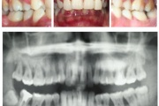
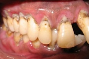
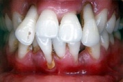
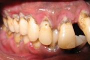
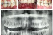
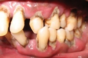
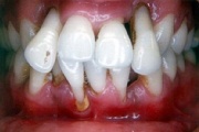
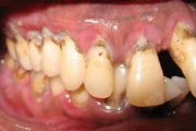
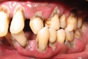
Agressiivne parodontiit
Seda parodontiidi vormi esineb umbes1%-l elanikkonnast. On haiguse kiiresti progresseeruv vorm, mille puhul patsiendid kaotavad kõik hambad enne30-35. eluaastat. Tavaliselt haigestutakse piimahammaste lõikumise ja puberteedi vahele jääval perioodil. Jagunemine:- lokaliseeritud agressiivne vorm- Loe edasi »