Hambarobot

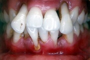
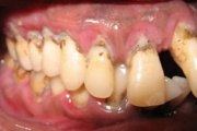
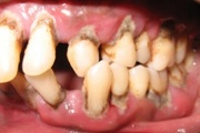
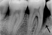
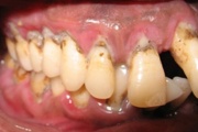
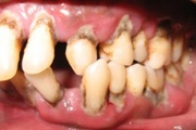
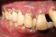
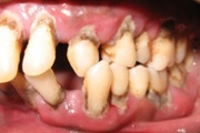
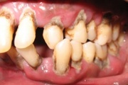
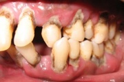
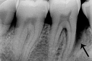
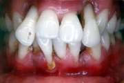
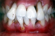
Agressiivse parodontiidi kahjustused rasedal naispatsiendil
Agressiivse parodontiidi kahjustused rasedal naispatsiendil
pilt pilt pilt pilt pilt
NB! Meie leht kasutab küpsiseid (cookies) veebiliikluse analüüsimiseks ning kasutajakogemuse parandamiseks. Jätkates veebilehe kasutamist, nõustud küpsiste salvestamisega sinu arvutisse.