Sisesta otsitav sõna või sõnaosa ja otsing väljastab sulle tulemused rubriikide kaupa.
NB! Üldotsing ei pruugi leida sama palju tulemusi kui vastava rubriigi detailne otsing
Otsingutulemused rubriikide kaupa:
Artiklid, sõnastik jt tekstid
Leidsin 26 vastet, näitan esimesed 10Artiklid

Otsingutäpsus:100%
22. veebr 2011
... peaaegu kõik astmaravimid on suu kaudu inhaleeritavad ning inhalatsioonil jääb osa ravimist suu limaskestale Sellest tulenevalt on olulisemad astmaravimite kõrvaltoimed kuiva suu tõttu kaariese oht ...
Artiklid

Otsingutäpsus:100%
16. jaan 2013
... imik lisajooki Vajadusel aga tasub talle anda vaid puhast vett Väikelaps.Väikese lapse limaskest on väga õrn ja sellel puudub küllaldane kaitsevõime mikroobide vastu Kui ema-isa niisutab ...
Artiklid
Otsingutäpsus:100%
1. jaan 2003
Huulelõhe on ülahuule deformatsioon mis haarab naha lihase ja limaskesta või ka igemed ja luu Võib olla eraldiseisva sümptomina või esineda koos suulaelõhega ...
Artiklid
Artiklid

Otsingutäpsus:100%
12. juuni 2006
... röntgenpildid Ülemise molaari üleintrumenteerimise korral võidakse perforeerida põskkoopa limaskest mille tulemusena võib sinusesse sattuda loputusvedelikku mis võib põhjustada sinuiidi Alumiste ...
Artiklid

Otsingutäpsus:100%
1. okt 2005
Laseriga limaskesta kahjustuse töötlemine võtab aega vaid mõne minuti Reeglina saab valust lahti koheselt ...
Artiklid

Otsingutäpsus:100%
12. juuni 2006
... patsiendil on fluktueeriv võdisev abstsess tuleb see esmaabina avada ja dreenida Intsisioonikoha limaskest tuimastatakse nii et nõelaga tungitakse viltu limaskesta pinnakihi alla ja süstitakse aeglaselt ...
Artiklid

Otsingutäpsus:100%
8. jaan 2006
... või muud sarnased nakkused suuõõnes raskused proteeside kandmisel ja/või suus püsimisel kui limaskest on kuiv ei päästa sellises olukorras ka mitte ükski proteesiliim Suuvälised e kogu keha ...
Artiklid

Otsingutäpsus:100%
17. sept 2004
... liiki erinevaid mikroorganisme Enamus süljes leiduvatest bakteritest paiknevad keelel ja vähem limaskestadel Kõige enam baktereid ligi 200 biljonit mikroobi 1 gr kohta on leitud hamba plakist ja ...
Artiklid

Otsingutäpsus:100%
25. mai 2006
... ja algloomade mõju hambaravi kvaliteedile ViirusedHambaravis võib viiruseid kohata teatud limaskesta haiguste korral ja infektsiooni vältimise seisukohast verega ülekantavate haiguste puhul ...
Koolitused
Otsing ei andnud tulemusi!Suuhaigused Hambarobotis
Leidsin 14 vastet, näitan esimesed 10
Otsingutäpsus:100%
9. dets 2012
... liikumist soolestikus.
Crohni tõve tekkepõhjused on teadmata.
Crohni tõbi suuõõnes
- Suulimaskest haaratud u. 1/3 Crohni tõve haigetest, lastel isegi enam
- Orofatsiaalne Crohni tõbi võib ...
Otsingutäpsus:100%
22. sept 2012
... Silma sarvkest kuiv ja keratootiline.
- Nahal kuivus ja follikulaarne hüperkeratoos.
- Suu limaskest kuiv, atroofiline. Leukoplaakia. Angulaarne heiliit. Samad nähud ka teistel limaskestadel ...

Otsingutäpsus:100%
22. sept 2012
... intensiivset kulumist ja kaariese aktiisuse tõusu.
- krooniline kurguvalu
- erütematoosne limaskest, eriti kurgunibu
- palatinaalsel limaskestal täppverevalumid või submukoosne hemorrhages ...

Otsingutäpsus:100%
19. sept 2012
... tumepunane. Võib tekkida keele hüperkeratoos, mis enamasti viitab millegi vaegusele. Suu limaskest on kahvatu, võivad esineda aftilaadsed erosioonid. Võib esineda angulaarne heiliit.

Otsingutäpsus:100%
9. sept 2012
... peaaegu kõik astmaravimid on suu kaudu inhaleeritavad ning inhalatsioonil jääb osa ravimist suu limaskestale. Tähtis on hammastest pärinevate infektsioonide vältimine, need omakorda halvendavad ...

Otsingutäpsus:100%
28. nov 2012
... ja ka transparentsed koopad on kindlad diagnostilised märgid.
Tavaliselt võib eriti lastel limaskesta tursega kaasneda vedeliku retentsioon. Eritis on seda tõenäolisem, mida enam limaskest pakseneb.
– ...

Otsingutäpsus:100%
19. sept 2012
... väga erinev.
Mao ülehappesuse ja reflukshaiguse korral põhjustab suhu sattuv maohape lisaks limaskesta söövitamisele ka hammaste erosiooni (fotol näha maohappest põhjustatud ülemiste hammaste ...

Otsingutäpsus:100%
22. sept 2012
... on keskeas naised.
Eksokriinsete näärmete puudulikkus avaldub kõigepealt silmade ja suu limaskesta kuivusena (vastavalt kuiv keratokonjunktiviit ja kserostoomia).
– Sjögreni sündroom võib ...

Otsingutäpsus:100%
19. sept 2012
... gingiviit. Peale paranemist tekivad kohe
uued. Hulgikaaries, alveolaarluu kadu, armistunud limaskest.Üldravi.
Sümptomaatiline suu hooldus hambaarsti poolt.
Toitumine
•Igapäevased 5–6 ...

Otsingutäpsus:100%
19. sept 2012
Stevens-Johnsoni sündroom on haigus, mis kulgeb kõrge palavikuga ja nahal ning limaskestadel on villiline lööve.
Raske süsteemne allergiline reaktsioon, mille iseloomulik lööve ...
Vastab spetsialist
Henry küsis
2. apr 2004
2. apr 2004
... Olen lugenud, et esimesel korral tekib vill suu limaskesta just sinna, kus toimus nakatumine.
Kui see paika ...

7. apr 2004
... et tegemist polnudki herpesega, vaid tavalise aftiga (limaskesta haavandiga), mille täpseid põhjusi veel ei tunta, ...
Jaanus küsis
30. aug 2005
30. aug 2005
... plombeerimas, aga mõne päeva pärast tekkisid põse limaskestadele (kummalegi poole) mõned väikesed villi. Valutavad, ...

2. sept 2005
... ei saa nt. herpesviirust, mis sedapuhku on lihtsalt suu limaskestal välja löönud. Mingi väike võimalus on ka, et ...
Liisa küsis
2. veebr 2005
2. veebr 2005
... aasta tagasi hakkasid analoogsed moodustised tekkima suu limaskestale, (kurgulakke, igemetele - turse mis muutub villiks ...

4. veebr 2005
... ära hoidmiseks tuleks lihtsalt vältida külmetumist, suu limaskesta vigastamist (nt. põske hammustamist).
Soovitan ...
Rünno küsis
3. jaan 2005
3. jaan 2005
Selline probleem on et ilmselt on mul suu limaskestapõletik, nimelt on mul keelepeal villid, mis on päris ...

6. jaan 2005
Kliinilist pilti nägemata on raske pakkuda, millise keele limaskesta põletikuga tegu võib olla. Kahjuks on sümptomaatika ...
Kristiina küsis
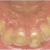
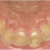
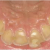
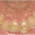
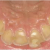
24. aug 2019
24. aug 2019
Täna märkasin oma tagumise hamba juures sellist valget sõlmekest. Kas peaksin muretsema?

10. sept 2019
... kuid vähemalt selle foto järgi öeldes, ei ole küll limaskestal midagi, mis ärevaks peaks Teid tegema. Küll aga ...
Andre küsis
24. jaan 2020
24. jaan 2020
2 päeva tagasi eemaldati tagumine ülahammas ja selle ümbrus on mõnikord veel valulik/tundlik (verd pole tulnud). Kas tohin kasutada salvi Kamistad N?

30. jaan 2020
Tere, Andre!
Kamistad N on limaskesta tuimestava toimega geel - kui limaskest on tundlik ...
Piret küsis
14. sept 2011
14. sept 2011
... ka see, et juba lapseeast alates tekib mull sageli suu limaskestadele ülivalusaid ville (vanemad inimesed teavad seda ...

19. sept 2011
... Selle üks väljendusviise on suured villid limaskestal, mille purunedes tekivad vesitsevad haavad. Suu limaskesta ...
H küsis
21. veebr 2011
21. veebr 2011
... kui hammas tundub nö rea peal olevat, aga siiski limaskestast ise täielikult välja ei tule, siis kas seda katvat ...

14. märts 2011
... näidustuseks hamba eemaldamiseks - hammast katva limaskesta all hakkavad ühel kehval päeval kasvama suuõõnest ...
Nele küsis
26. okt 2013
26. okt 2013
... mitu kuud suus põletav tunne. Nii keelel kui ka huulte limaskestal, vahel isegi põskede sisekülgedel. Keel on puhas, ...

1. nov 2013
... küljest on teatud juhtudel tugev maitseärritus tuntav limaskestal põletusena. Kliinilisi muutusi ei leita.
– Patsiendi ...
Triinu küsis
21. märts 2013
21. märts 2013
Tere!
Mul tekkisid 5 päeva tagasi suulimaskestale haavandid (aftid), mida on varasemalt mõned korrad ...

22. märts 2013
Tere
Huulte lõhenemine ja sagedased limaskesta erosioonid võivad olla tingitud rauavaegusest. ...