Hambarobot

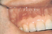
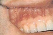
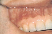
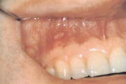
Aftoosne stomatiit
Aftoosne stomatiit
villikesest tekkinud haavand suu limaskestal
pilt pilt pilt pilt pilt pilt pilt pilt pilt
NB! Meie leht kasutab küpsiseid (cookies) veebiliikluse analüüsimiseks ning kasutajakogemuse parandamiseks. Jätkates veebilehe kasutamist, nõustud küpsiste salvestamisega sinu arvutisse.