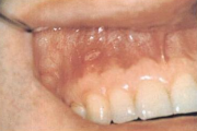
Suu limaskesta haavandid
- Alati tuleb kontrollida hambaproteese. – Haavandi põhjuseks võib olla odontoloogiline infektsioon. – Igal juhul tuleb arvestada vähi võimalusega. Reeglina tuleb võtta biopsia haavanditest, mis kahe nädala jooksul ei parane. – Konsulteerida hambaarstiga; patsiendid, kellele tuleb teha Loe edasi »