Hambarobot

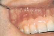
Crohni tõbi
Crohni tõbi
pilt pilt pilt pilt pilt pilt pilt pilt pilt
NB! Meie leht kasutab küpsiseid (cookies) veebiliikluse analüüsimiseks ning kasutajakogemuse parandamiseks. Jätkates veebilehe kasutamist, nõustud küpsiste salvestamisega sinu arvutisse.