Hambarobot

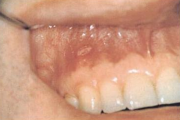
mehaaniline trauma tuimastuse süsimise kohas
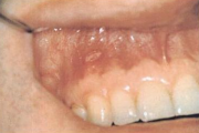
mehaaniline trauma tuimastuse süsimise kohas
pilt pilt pilt pilt pilt pilt pilt pilt pilt
NB! Meie leht kasutab küpsiseid (cookies) veebiliikluse analüüsimiseks ning kasutajakogemuse parandamiseks. Jätkates veebilehe kasutamist, nõustud küpsiste salvestamisega sinu arvutisse.