Vaata haigusi riskigruppide kaupa:
Algav hambanärvi põletik
Algav hambanärvi põletik ehk pöörduv pulpiit on tavaline hambakaariese tüsistus, kui hambaauku põhjustanud mikroobide toksiinid on kahjustamas hambasäsi. Põletik on organismi kaitsereaktsioon ja valu selle üks näht.
Algav hambanärvi põletik ehk pöörduv pulpiit on tavaline hambakaariese tüsistus, kui hambaauku põhjustanud mikroobide toksiinid on kahjustamas hambasäsi. Põletik on organismi kaitsereaktsioon ja valu selle üks näht.
Ancyloglossia
Kaasasündinud anomaalia, mille juures keel on tugevalt fikseerunud suupõhjas. Selline anomaalia oluliselt ei takista rääkimist, kuid takistab loomulikku suuõõne (hambad, suuesik) puhastumist keele abil ja foneetikat. Keelekida haavandumine tekib pideva...
Kaasasündinud anomaalia, mille juures keel on tugevalt fikseerunud suupõhjas. Selline anomaalia oluliselt ei takista rääkimist, kuid takistab loomulikku suuõõne (hambad, suuesik) puhastumist keele abil ja foneetikat. Keelekida haavandumine tekib pideva...
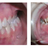
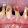
ANUG (äge nekrotiseeruv haavandiline gingiviit/parodontiit)
Äge nekrotiseeruv haavandiline gingiviit (ANUG) või nekrootiline haavandiline gingiviit (NUG) on nekrootiline bakterite poolt põhjustatud infektsioosne igeme haigus, mille korral põletikust on haaratud hammast ümbritsev ige ja kahjustus ei ulatu...
Äge nekrotiseeruv haavandiline gingiviit (ANUG) või nekrootiline haavandiline gingiviit (NUG) on nekrootiline bakterite poolt põhjustatud infektsioosne igeme haigus, mille korral põletikust on haaratud hammast ümbritsev ige ja kahjustus ei ulatu...
Atoopiline ekseem huultel
Paljudel atoopilist ekseemi põdevatel lastel huuled rohtuvat ja lõhenevad. Eriti talvel
Paljudel atoopilist ekseemi põdevatel lastel huuled rohtuvat ja lõhenevad. Eriti talvel
Bruksism
Bruksism on hammaste krigistamine, nagistamine ja teineteise vastu hõõrumine. Paljud lapsed ja täiskasvanud krigistavad oma hambaid une ajal ilma, et nad seda ise teaksid. Lisaks hammaste krigistamisele närivad mõned bruksistid...
Bruksism on hammaste krigistamine, nagistamine ja teineteise vastu hõõrumine. Paljud lapsed ja täiskasvanud krigistavad oma hambaid une ajal ilma, et nad seda ise teaksid. Lisaks hammaste krigistamisele närivad mõned bruksistid...
Coxackie-viirus infektsioon (nt Herpangiin, Vesikulaarne stomatiit)
Infitseerumine on sagedasem suvel. Nakatumine toimub fekaal-oraalsel teel või piisknakkusena. Nakatumisoht on suurem kollektiivides (lasteaiad, koolid, haiglad jne). Avaldub alla 5 aastastel lastel. Kõige tuntum Coxsackie haigus on käsi, suu-ja...
Infitseerumine on sagedasem suvel. Nakatumine toimub fekaal-oraalsel teel või piisknakkusena. Nakatumisoht on suurem kollektiivides (lasteaiad, koolid, haiglad jne). Avaldub alla 5 aastastel lastel. Kõige tuntum Coxsackie haigus on käsi, suu-ja...
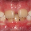
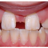
Diasteem
Diasteem – vahe esimeste hammaste vahel. Esineb 50%-l 6-8 aastastel lastel. Kuni 2 mm diasteemi puhul on, peale lateraalse intsisiivi ja silmahamba lõikumist, võimalik diasteemi iseeneslik sulgumine. Diasteem, mille suurus...
Diasteem – vahe esimeste hammaste vahel. Esineb 50%-l 6-8 aastastel lastel. Kuni 2 mm diasteemi puhul on, peale lateraalse intsisiivi ja silmahamba lõikumist, võimalik diasteemi iseeneslik sulgumine. Diasteem, mille suurus...
Difteeria
(Diphteria)
Difteeria on bakteriaalne nakkushaigus, mille põhjustab Corynebacterium diphteriae. Haigus levib piisknakkusena. RHK-10 alusel klassifitseeritakse difteeria järgmiselt: - Neeludifteeria - Ninaneeludifteeria - Kõridifteeria e larüngeaaldifteeria - Nahadifteeria - Muu difteeria -...
Difteeria on bakteriaalne nakkushaigus, mille põhjustab Corynebacterium diphteriae. Haigus levib piisknakkusena. RHK-10 alusel klassifitseeritakse difteeria järgmiselt: - Neeludifteeria - Ninaneeludifteeria - Kõridifteeria e larüngeaaldifteeria - Nahadifteeria - Muu difteeria -...
Downi sündroom
Kaasasündinud geneetiliselt määratud haigus, mis avaldub arengupeetuse ja mitmete väärarenditena. Tekkepõhjust ei teata. Häire tekib munaraku või spermatosoidi moodustumisel. Kromosoomide jagunemisel ilmneb viga ja loode areneb algest, millel on üks...
Kaasasündinud geneetiliselt määratud haigus, mis avaldub arengupeetuse ja mitmete väärarenditena. Tekkepõhjust ei teata. Häire tekib munaraku või spermatosoidi moodustumisel. Kromosoomide jagunemisel ilmneb viga ja loode areneb algest, millel on üks...
Ebameeldiv lõhn suust
Vähemalt 80%-l juhtudel põhjustab ebameeldiva lõhna suu – Sageli seotud suitsetamisega - tsirkulatoorne ehk vereringest Suu kaudu hingamine – Lastel on põhjuseks adenoidid – Vanuritel on suu normaalsed puhastusmehhanismid sageli...
Vähemalt 80%-l juhtudel põhjustab ebameeldiva lõhna suu – Sageli seotud suitsetamisega - tsirkulatoorne ehk vereringest Suu kaudu hingamine – Lastel on põhjuseks adenoidid – Vanuritel on suu normaalsed puhastusmehhanismid sageli...
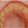
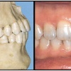
Eesmine lahihambumus
Eesmise lahihambumuse tunnuseks on see, et hammustades ei teki kontakte ülemiste ja alumiste eesmiste hammaste vahel. Eesmine lahihambumus esineb 4% lastest, raskemad vormid vaid 0, 2%.
Eesmise lahihambumuse tunnuseks on see, et hammustades ei teki kontakte ülemiste ja alumiste eesmiste hammaste vahel. Eesmine lahihambumus esineb 4% lastest, raskemad vormid vaid 0, 2%.
Eesti Haigekassa tasub ortodontilise ravi eest kindlate diagnooside korral
Hetkel on reeglid väga rangelt määratud ja loendisse kuulub 6 diagnoosi, millise korral ortodontilise ravi eest tasub Eesti Haigekassa. Seda loendit on võimalik kontrollida, kui leiate Haigekassa kodulehelt hambaraviteenused, ortodontilise...
Hetkel on reeglid väga rangelt määratud ja loendisse kuulub 6 diagnoosi, millise korral ortodontilise ravi eest tasub Eesti Haigekassa. Seda loendit on võimalik kontrollida, kui leiate Haigekassa kodulehelt hambaraviteenused, ortodontilise...
Erythema multiforme
– Retsidiveeruv, äge villiline haigus, mis tekitab kogu suu limaskestale, eriti alahuulele ning keelele sama tüüpi muutusi nagu herpeseviirused. – Haiguse generaliseerunud vormi korral (Stevens- Johnsoni sündroom) esinevad nii nahal...
– Retsidiveeruv, äge villiline haigus, mis tekitab kogu suu limaskestale, eriti alahuulele ning keelele sama tüüpi muutusi nagu herpeseviirused. – Haiguse generaliseerunud vormi korral (Stevens- Johnsoni sündroom) esinevad nii nahal...
Esimeste molaaride (purihammaste) lõikumine
Esimeste molaaride (purihammaste) lõikumine. 1. molaaride ektoopilise lõikumise jälgimine. Ülemised ja alumised esimesed purihambad e. molaarid lõikuvad orienteeruvalt 6-7-aastaselt piimahammaste rea lõppu. Enamasti lõikuvad samanimelised jäävhambad paaridena. Normaalne lõikumise järjekord...
Esimeste molaaride (purihammaste) lõikumine. 1. molaaride ektoopilise lõikumise jälgimine. Ülemised ja alumised esimesed purihambad e. molaarid lõikuvad orienteeruvalt 6-7-aastaselt piimahammaste rea lõppu. Enamasti lõikuvad samanimelised jäävhambad paaridena. Normaalne lõikumise järjekord...
Francisella tularensis ehk JÄNESEKATK
– Infektsiooni oletatakse haigel, kel esineb palavik, lümfadenopaatia ning putuka (sääse) hammustuse või mõne nahavigastuse kohale tekib haavand. – Ravi tuleb alustada juba tüüpilise haiguspildi alusel. Diagnoosi võib tõestada seroloogiliselt....
– Infektsiooni oletatakse haigel, kel esineb palavik, lümfadenopaatia ning putuka (sääse) hammustuse või mõne nahavigastuse kohale tekib haavand. – Ravi tuleb alustada juba tüüpilise haiguspildi alusel. Diagnoosi võib tõestada seroloogiliselt....
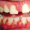
Gingiviit ehk igemepõletik
(Gingivitis)
Gingiviit on hammast ümbritseva igeme põletikuline protsess, mis on tingitud hambakatu kogunemisest ning mis kujuneb välja ebasoodsate lokaalsete ja üldiste faktorite toimel, kusjuures on säilinud igeme terviklik kinnitus hambapinnale ja...
Gingiviit on hammast ümbritseva igeme põletikuline protsess, mis on tingitud hambakatu kogunemisest ning mis kujuneb välja ebasoodsate lokaalsete ja üldiste faktorite toimel, kusjuures on säilinud igeme terviklik kinnitus hambapinnale ja...
Glossitis rhomboidea mediana
– Keele keskosa arengus osalev tuberculum impar võib keele keskjoonel jääda nähtavaks punetava, sileda ja rombitaolise kõrgendiku või lohuna. – Muutus on ohutu, kuid seda tuleb eristada keele kasvajatest (vähegi...
– Keele keskosa arengus osalev tuberculum impar võib keele keskjoonel jääda nähtavaks punetava, sileda ja rombitaolise kõrgendiku või lohuna. – Muutus on ohutu, kuid seda tuleb eristada keele kasvajatest (vähegi...
Halvad harjumused
Hamba-lõualuuanomaaliaid põhjustavad kahjulikud harjumused: •imedes sõrmi, huuli, põski, esemeid, keelt •suuhingamine, infantiilne ehk imikutele iseloomulik neelamistüüp, kõnedefektid, häirunud mälumisfunktsioon •rühihäired Kahjulike harjumuste korral tekib lõualuude ebaühtlane kasv. Imemisfunktsiooni häireid on...
Hamba-lõualuuanomaaliaid põhjustavad kahjulikud harjumused: •imedes sõrmi, huuli, põski, esemeid, keelt •suuhingamine, infantiilne ehk imikutele iseloomulik neelamistüüp, kõnedefektid, häirunud mälumisfunktsioon •rühihäired Kahjulike harjumuste korral tekib lõualuude ebaühtlane kasv. Imemisfunktsiooni häireid on...
Hamba atritsioon
Atritsiooniks nimetame vastashammaste kontaktpindade patoloogilist kulumist. Tegemist võib olla nii üksiku hamba kuni kõigi hammaste kulumisega.
Atritsiooniks nimetame vastashammaste kontaktpindade patoloogilist kulumist. Tegemist võib olla nii üksiku hamba kuni kõigi hammaste kulumisega.
Hamba erosioon
Muu kui katubakterite happe põhjustatud hamba kõvakoe happelist kahjustust nimetatakse erosiooniks. Hape söövitab ehk demineraliseerib hambapinda, muutes selle pehmeks ja nii kiiresti kuluvaks.
Muu kui katubakterite happe põhjustatud hamba kõvakoe happelist kahjustust nimetatakse erosiooniks. Hape söövitab ehk demineraliseerib hambapinda, muutes selle pehmeks ja nii kiiresti kuluvaks.
Hambaauk
Hambaauguks ehk kaariesekahjustuseks nimetame hamba kõvakoe kahjustust, mille on põhjustanud hambapinnal elava mikroobiikihi ehk biofilmi elutegevuse jääkaine - piimhape. See hape söövitab hambakude ehk lahustab sellest välja mineraale, mille tagajärjel...
Hambaauguks ehk kaariesekahjustuseks nimetame hamba kõvakoe kahjustust, mille on põhjustanud hambapinnal elava mikroobiikihi ehk biofilmi elutegevuse jääkaine - piimhape. See hape söövitab hambakude ehk lahustab sellest välja mineraale, mille tagajärjel...
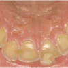
Hambakaaries
Hambakaaries on hamba kõvakudedes (emailis, dentiinis, juuretsemendis) pöördumatult kulgev krooniline destruktiivne protsess. Tekkiva emaili demineralisatsiooni tulemusena kahjustunud hambakude langeb välja ja hambasse tekib karioosne defekt e. hambaauk. Kahjustus progresseerub kui...
Hambakaaries on hamba kõvakudedes (emailis, dentiinis, juuretsemendis) pöördumatult kulgev krooniline destruktiivne protsess. Tekkiva emaili demineralisatsiooni tulemusena kahjustunud hambakude langeb välja ja hambasse tekib karioosne defekt e. hambaauk. Kahjustus progresseerub kui...
Hambatraumad
Põhimõtted – Trauma tagajärjel irdunud jäävhammast tasub alati tagasi istutada, kui õnnetuses on hammas ja alveool terveks jäänud. Kui ka hammas hiljem kaotataks, on istutamine tähtis, sest see kergendab implanteerimist...
Põhimõtted – Trauma tagajärjel irdunud jäävhammast tasub alati tagasi istutada, kui õnnetuses on hammas ja alveool terveks jäänud. Kui ka hammas hiljem kaotataks, on istutamine tähtis, sest see kergendab implanteerimist...
Hammaste arenguvead
– Esimesed hambad lõikuvad tavaliselt umbes pooleaastaselt. Kui 1, 5-aastasel lapsel pole lõikunud ühtegi hammast, siis tuleb alustada uuringutega. – Täielik hammaste puudumine (väga haruldane) kaasneb tavaliselt mõne sündroomiga ja...
– Esimesed hambad lõikuvad tavaliselt umbes pooleaastaselt. Kui 1, 5-aastasel lapsel pole lõikunud ühtegi hammast, siis tuleb alustada uuringutega. – Täielik hammaste puudumine (väga haruldane) kaasneb tavaliselt mõne sündroomiga ja...
Hammaste lõikumise jälgimine, järjekord
• Jäävhammaste lõikumine algab 5. - 6. eluaastal: esimesed purihambad lõikuvad piimahammaste rea lõppu ja samal ajal tulevad suhu ka alumised tsentraalsed lõikehambad. • Alumised esihambad lõikuvad rohkem keelepoolelt samanimeliste piimahammaste suhtes,...
• Jäävhammaste lõikumine algab 5. - 6. eluaastal: esimesed purihambad lõikuvad piimahammaste rea lõppu ja samal ajal tulevad suhu ka alumised tsentraalsed lõikehambad. • Alumised esihambad lõikuvad rohkem keelepoolelt samanimeliste piimahammaste suhtes,...
Harilik vill-lööve
(pemphigus vulgaris)
– Üle poolte haigusjuhtudest algab suus esinevate, kiiresti purunevate villidega. Villid on läbipaistvad ja pehmed ning piirduvad algul, mõne kuu jooksul, ainult ühe piirkonnaga ja levivad seejärel üle kogu naha....
– Üle poolte haigusjuhtudest algab suus esinevate, kiiresti purunevate villidega. Villid on läbipaistvad ja pehmed ning piirduvad algul, mõne kuu jooksul, ainult ühe piirkonnaga ja levivad seejärel üle kogu naha....
Hemofiilia ja Von Willebrandi tõbi
Veritsushaiguste all kannatavatele patsientidele ei määrata ASA-ravi. Esmane ravim on paratsetamool või paratsetamooli ja kodeiini kombinatsioon. Valuvaigistavatest põletikuvastastest ravimitest on lubatud kasutada näiteks mefenaamhapet, tolfenaamhapet ja diflunisaali. Tugeva valu korral...
Veritsushaiguste all kannatavatele patsientidele ei määrata ASA-ravi. Esmane ravim on paratsetamool või paratsetamooli ja kodeiini kombinatsioon. Valuvaigistavatest põletikuvastastest ravimitest on lubatud kasutada näiteks mefenaamhapet, tolfenaamhapet ja diflunisaali. Tugeva valu korral...
Herpangiin
Haigust põetakse lapsepõlves. Kandub edasi sülje ja väljaheidetega.
Haigust põetakse lapsepõlves. Kandub edasi sülje ja väljaheidetega.
Herpes simplex
Primaarinfektsioon – Umbes 99% juhtudest on kliinilised sümptomid suhteliselt vähesed või puuduvad täielikult. – Esmane nakatumine toimub varases lapseeas, harvemini noorukieas. – Umbes 1%-l esineb primaarinfektsioon kõrge palavikuga ägeda stomatiidina,...
Primaarinfektsioon – Umbes 99% juhtudest on kliinilised sümptomid suhteliselt vähesed või puuduvad täielikult. – Esmane nakatumine toimub varases lapseeas, harvemini noorukieas. – Umbes 1%-l esineb primaarinfektsioon kõrge palavikuga ägeda stomatiidina,...
Huule-suulaelõhe
Huule-suulaelõhe ehk rahvakeeli \jänesemokk\ on sünnidefekt, mis tekib loote arengu käigus. Tavaliselt arenevad suu ja nina välja 6. ja 12. nädala vahel. Mõnel lapsel ei kasva aga osa huulest ja...
Huule-suulaelõhe ehk rahvakeeli \jänesemokk\ on sünnidefekt, mis tekib loote arengu käigus. Tavaliselt arenevad suu ja nina välja 6. ja 12. nädala vahel. Mõnel lapsel ei kasva aga osa huulest ja...
Huulepõletik (e. keiliit) toidu allergiast
Ehkki toiduallergia esineb kõige sagedamini väikelastel, võib seda kahtlustada kõikides vanusegruppides. Enamik lapseeas toiduallergia all kannatanutest paraneb sellest mängueas või hiljemalt koolieas. Osal patsientidel areneb siiski mõni teine allergiline haigus....
Ehkki toiduallergia esineb kõige sagedamini väikelastel, võib seda kahtlustada kõikides vanusegruppides. Enamik lapseeas toiduallergia all kannatanutest paraneb sellest mängueas või hiljemalt koolieas. Osal patsientidel areneb siiski mõni teine allergiline haigus....
Infektsioosne mononukleoos (suudlemisnakkus), Epstein-Barri viirus (EBV)
Mononukleoos põetakse sageli läbi juba lapseeas. Väikelastel kulgeb nakkus enamasti sümptomiteta, kuid noortel ja täiskasvanutel kujuneb välja mononukleoosi haiguspilt. Peale nakatumist jääb Epstein-Barr viirus vaikselt kogu eluks organismi, elades neelus...
Mononukleoos põetakse sageli läbi juba lapseeas. Väikelastel kulgeb nakkus enamasti sümptomiteta, kuid noortel ja täiskasvanutel kujuneb välja mononukleoosi haiguspilt. Peale nakatumist jääb Epstein-Barr viirus vaikselt kogu eluks organismi, elades neelus...
Kaasasündinud hammaste puudumine
(agenees)
Sagedamini puuduvad hambad: teised premolaarid, ülemised lateraalsed intsisiivid, alumised tsentraalsed intsisiivid.
Sagedamini puuduvad hambad: teised premolaarid, ülemised lateraalsed intsisiivid, alumised tsentraalsed intsisiivid.
Karvane leukoplaakia
(leucoplacia hirsuta oris)
– Heledakatuline muutus, mis esineb tavaliselt sümmeetriliselt keele mõlemal poolel, alates keele tagumisest kolmandikust. – On selgelt seotud immuunsupressiooniga ja esineb tihti HIV-viirusega nakatunutel. – Kliiniline lesioon on sümptomiteta ja...
– Heledakatuline muutus, mis esineb tavaliselt sümmeetriliselt keele mõlemal poolel, alates keele tagumisest kolmandikust. – On selgelt seotud immuunsupressiooniga ja esineb tihti HIV-viirusega nakatunutel. – Kliiniline lesioon on sümptomiteta ja...
Kontaktist tekitatud kahjustused suulimaskestal
-Kontaktist põhjustatud mehhaanilist limaskesta kahjustust võivad esile kutsuda ortodontilised plaadid, breketid Harva põhjustavad kahjustusi täidismaterjalid. - Metalliärritust võivad anda breketid, aparaatide klambrid, hambakroonid – kroom, nikkel, berüllium, palladium, kloriid. Siia...
-Kontaktist põhjustatud mehhaanilist limaskesta kahjustust võivad esile kutsuda ortodontilised plaadid, breketid Harva põhjustavad kahjustusi täidismaterjalid. - Metalliärritust võivad anda breketid, aparaatide klambrid, hambakroonid – kroom, nikkel, berüllium, palladium, kloriid. Siia...
Kroonilised soolepõletikud (haavandiline koliit, crohni tõbi)
Crohni tõbi on krooniline soolepõletik, mis haarab teatud sooleosa, näiteks niudesoole lõpposa ja käärsoole algusosa kõiki seinakihte. Crohni tõbi on eluaegne haigus, mis kulgeb ägenemiste ja vaibumistega. Sümptomid võivad olla,...
Crohni tõbi on krooniline soolepõletik, mis haarab teatud sooleosa, näiteks niudesoole lõpposa ja käärsoole algusosa kõiki seinakihte. Crohni tõbi on eluaegne haigus, mis kulgeb ägenemiste ja vaibumistega. Sümptomid võivad olla,...
Kõnefunktsiooni häire
Väljendub häälikute ebaselges hääldamises. Tehakse kindlaks vestluses lapsega. On harva hamba-lõualuuanomaaliate vahetuks põhjustajaks. Sagedamini täheldatakse vastupidist: hamba-lõualuusüsteemi ehituse kõrvalekalded viivad häälikute tekitamise häiretele. Sellisteks anomaaliateks on hambumusanomaaliad, hambakaarte kitsenemine, kaasasündinud...
Väljendub häälikute ebaselges hääldamises. Tehakse kindlaks vestluses lapsega. On harva hamba-lõualuuanomaaliate vahetuks põhjustajaks. Sagedamini täheldatakse vastupidist: hamba-lõualuusüsteemi ehituse kõrvalekalded viivad häälikute tekitamise häiretele. Sellisteks anomaaliateks on hambumusanomaaliad, hambakaarte kitsenemine, kaasasündinud...
Lame lihhen
(lichen ruber planus)
Lame lihhen on üks sagedasematest suu limaskesta muutustest. 70%-l patsientidest, kellel esinevad nahamuutused, on lihhenile tüüpilised muutused ka suu limaskestal. Seevastu suu lihhenit põdevatest patsientidest on nahamuutused ainult 30–40%-l. Enamik...
Lame lihhen on üks sagedasematest suu limaskesta muutustest. 70%-l patsientidest, kellel esinevad nahamuutused, on lihhenile tüüpilised muutused ka suu limaskestal. Seevastu suu lihhenit põdevatest patsientidest on nahamuutused ainult 30–40%-l. Enamik...
Lapse stomatiit
Tekitajad ja kliiniline pilt Gingivostomatiit – Tekitaja herpes simplex-viirus – Primaarinfektsioon, mille üldnähtudeks on palavik, halb enesetunne ja peavalu. – Herpeseville leidub põskede limaskestal, huultel ja keelel, sageli lõhkevad need...
Tekitajad ja kliiniline pilt Gingivostomatiit – Tekitaja herpes simplex-viirus – Primaarinfektsioon, mille üldnähtudeks on palavik, halb enesetunne ja peavalu. – Herpeseville leidub põskede limaskestal, huultel ja keelel, sageli lõhkevad need...
Laste ja noorukite söömishäired. Anorexia nervosa, Bulimia nervosa
Söömishäirete all peetakse silmas olukordi, kus toidul on kaudne, manipulatiivne tähendus: leitakse, et toiduga saab hästi reguleerida välimust. – Söömishäirete skaala on kirju. Kõige sagedamini esinevad häired on anorexia nervosa...
Söömishäirete all peetakse silmas olukordi, kus toidul on kaudne, manipulatiivne tähendus: leitakse, et toiduga saab hästi reguleerida välimust. – Söömishäirete skaala on kirju. Kõige sagedamini esinevad häired on anorexia nervosa...
Leetrid
Peiteperiood kestab 9-11 ööpäeva, mille möödudes tekivad viirusnakkusele iseloomulikud kaebused: temperatuuri tõus, halb enesetunne jms. Veel mõned päevad hiljem ilmub lööve, milleks on roosakaspunased laigud nahal ja samaaegselt või veidi...
Peiteperiood kestab 9-11 ööpäeva, mille möödudes tekivad viirusnakkusele iseloomulikud kaebused: temperatuuri tõus, halb enesetunne jms. Veel mõned päevad hiljem ilmub lööve, milleks on roosakaspunased laigud nahal ja samaaegselt või veidi...
Leukeemia (Äge ja krooniline.)
Äge leukeemia: Haigus algab palaviku halva enesetunde, tonsilliidi, suu limaskesta haavandumisega: Hüperplastiline gingiviit Veritsus Petehhiad Haavandid Infektsioonid Gingiva on sageli suus esimeseks kahjustuspiirkonnaks. Igemetel on...
Äge leukeemia: Haigus algab palaviku halva enesetunde, tonsilliidi, suu limaskesta haavandumisega: Hüperplastiline gingiviit Veritsus Petehhiad Haavandid Infektsioonid Gingiva on sageli suus esimeseks kahjustuspiirkonnaks. Igemetel on...
Leukopeenia ja agranulotsütoos
Neutrofiilide hulga langus, raskematel juhtudel nimetatakse agranulotsütoosiks. Neutrofiilide hulga vähenemisega kaasneb omakorda risk nakatuda bakterinfektsiooni. • Kui neutrofiilide hulk on 1, 5–2, 0 x 109/l, siis infektsiooniriski suurenemist veel ei...
Neutrofiilide hulga langus, raskematel juhtudel nimetatakse agranulotsütoosiks. Neutrofiilide hulga vähenemisega kaasneb omakorda risk nakatuda bakterinfektsiooni. • Kui neutrofiilide hulk on 1, 5–2, 0 x 109/l, siis infektsiooniriski suurenemist veel ei...
Lisahammas(hambad)
Suurenenud hambaalgete arvu puhul, kui suus esineb komplektiväline hammas on tegemist lisahambaga. • Lisahammas võib lõikuda suhu või olla peetunud lõualuus. Komplektiväline hammas võib takistada normaalset hammaste lõikumist õigele kohale...
Suurenenud hambaalgete arvu puhul, kui suus esineb komplektiväline hammas on tegemist lisahambaga. • Lisahammas võib lõikuda suhu või olla peetunud lõualuus. Komplektiväline hammas võib takistada normaalset hammaste lõikumist õigele kohale...
Lutipudelikaaries
Lutipudelikaaries on tõsine, kuid ennetatav hammaste haigus, mis tekib siis, kui väikelapse hambad puutuvad liiga pikalt kokku süsivesinikega. Lutipudelikaariesest hoidumiseks: · Ära pane last voodisse pudeliga, milles on suhkrut sisaldavaid...
Lutipudelikaaries on tõsine, kuid ennetatav hammaste haigus, mis tekib siis, kui väikelapse hambad puutuvad liiga pikalt kokku süsivesinikega. Lutipudelikaariesest hoidumiseks: · Ära pane last voodisse pudeliga, milles on suhkrut sisaldavaid...
Lõhedega keel
(lingua plicata)
Umbes ühel protsendil vastsündinutest on keele pind limaskesta vagude poolt osadeks jagatud, mis jätab mulje, et keel on tavalisest punasem. Vanuse kasvades on leid pisut sagedasem.
Umbes ühel protsendil vastsündinutest on keele pind limaskesta vagude poolt osadeks jagatud, mis jätab mulje, et keel on tavalisest punasem. Vanuse kasvades on leid pisut sagedasem.
Maakaartkeel
(lingua geographica)
– Ebakorrapäraseid punaseid atroofilisi limaskestalaike ümbritsevad matsereerunud filiformsete papillide poolt moodustatud hallikad vallitaolised piirkonnad. – Laigud muudavad iga päev kuju. – Ohutu leid, millega ei kaasne haigusnähte.
– Ebakorrapäraseid punaseid atroofilisi limaskestalaike ümbritsevad matsereerunud filiformsete papillide poolt moodustatud hallikad vallitaolised piirkonnad. – Laigud muudavad iga päev kuju. – Ohutu leid, millega ei kaasne haigusnähte.
Maitsmisaistingu häired
Esmalt välja selgitada, kas pole ehk tegemist haistmismeele häirega. Üldarsti vastuvõtul piisab haistmise uurimiseks pudelist tõrvast
Esmalt välja selgitada, kas pole ehk tegemist haistmismeele häirega. Üldarsti vastuvõtul piisab haistmise uurimiseks pudelist tõrvast
Mustkarvaskeel
(lingua hirsuta, lingua nigra piluta)
– Keele filiformsed papillid reageerivad kroonilisele ärritusele keratiini moodustamisega. Tagajärjeks on papillide liigkasv ja vastavalt keele keskosa muutumine. – Põhjuseks on tavaliselt krooniline ärritus (halb suu hügieen, suitsetamine, vahel pikaajaline...
– Keele filiformsed papillid reageerivad kroonilisele ärritusele keratiini moodustamisega. Tagajärjeks on papillide liigkasv ja vastavalt keele keskosa muutumine. – Põhjuseks on tavaliselt krooniline ärritus (halb suu hügieen, suitsetamine, vahel pikaajaline...
Mälumisfunktsiooni häired
Väljenduvad mälumisfaaside muutuses, ebaühtlases mälumisrõhu jaotumises, mälumisliigutuste arvu suurenemises, toidu mälumise ja kämbu moodustumise aja pikenemises. On mitme anomaalia formeerumise aktiivseks faktoriks: lahi-, rist-, progeense jm. patoloogilise hambumuse vormid. Esineb...
Väljenduvad mälumisfaaside muutuses, ebaühtlases mälumisrõhu jaotumises, mälumisliigutuste arvu suurenemises, toidu mälumise ja kämbu moodustumise aja pikenemises. On mitme anomaalia formeerumise aktiivseks faktoriks: lahi-, rist-, progeense jm. patoloogilise hambumuse vormid. Esineb...
Neelamisfunktsiooni häire
Kliinilised sümptomid on tingitud muutunud keeleasendist ja miimiliste lihaste suurenenud pingest. 2, 5-aastasel lapsel on piimahammaskond ja on lõppenud infantiilse e. imikutele iseloomuliku neelamisviisi ümberkujunemine somaatiliseks e. tavapäraseks (keele ots...
Kliinilised sümptomid on tingitud muutunud keeleasendist ja miimiliste lihaste suurenenud pingest. 2, 5-aastasel lapsel on piimahammaskond ja on lõppenud infantiilse e. imikutele iseloomuliku neelamisviisi ümberkujunemine somaatiliseks e. tavapäraseks (keele ots...
Ninahingamisprobleemid
Ninahingamise takistuse korral võib laps võib hakata suu kaudu hingama. Sagedamini tekib suuhingamine lastel, kes põevad tihti ülemiste hingamisteede haigusi või on allergikud. Tagajärjed: Ülemised hambad kalduvad ette, ülalõug jääb...
Ninahingamise takistuse korral võib laps võib hakata suu kaudu hingama. Sagedamini tekib suuhingamine lastel, kes põevad tihti ülemiste hingamisteede haigusi või on allergikud. Tagajärjed: Ülemised hambad kalduvad ette, ülalõug jääb...
Ninakinnisus
Eesmärk – Püütakse avastada taustal olevad põletikukolded ja tuumorid. – Selgitatakse välja ninakäikude anatoomilised defektid ja võimalikud allergeenid või ärritajad. Tavalisimad põhjused – Aastaringne allergiline nohu, ninapolüübid, ninavaheseina kõverdus ja...
Eesmärk – Püütakse avastada taustal olevad põletikukolded ja tuumorid. – Selgitatakse välja ninakäikude anatoomilised defektid ja võimalikud allergeenid või ärritajad. Tavalisimad põhjused – Aastaringne allergiline nohu, ninapolüübid, ninavaheseina kõverdus ja...
Näo asümmeetria
Näo vasak ja parem pool peavad olema sarnased. Näo vasaku ja parema poole nähtava erinevuse korral on tegemist näo asümmeetriaga. Näo asümmeetria puhul on oluline välja selgitada etioloogiline faktor, milleks...
Näo vasak ja parem pool peavad olema sarnased. Näo vasaku ja parema poole nähtava erinevuse korral on tegemist näo asümmeetriaga. Näo asümmeetria puhul on oluline välja selgitada etioloogiline faktor, milleks...
Papilloomiviirused (HPV)
Praeguseks tuntakse üle 70 HPV-tüübi, millest ühed põhjustavad infektsiooni ainult nahal, teised limaskestadel. Suu limaskestal võib leiduda nii genitaalpiirkonnas (HPV 6, 11, 16, 18) kui ka nahal esinevaid HPV-tüüpe (HPV...
Praeguseks tuntakse üle 70 HPV-tüübi, millest ühed põhjustavad infektsiooni ainult nahal, teised limaskestadel. Suu limaskestal võib leiduda nii genitaalpiirkonnas (HPV 6, 11, 16, 18) kui ka nahal esinevaid HPV-tüüpe (HPV...
Parodontiit
Parodontiit on mikroobide poolt põhjustatud hammast ümbritsevate kudede põletik, mille tagajärjel hävib hamba kinnituskudede süsteem ja luu, kuni hammas langeb välja. Parodontiidile eelneb alati gingiviit, kuid mitte igast gingiviidist ei...
Parodontiit on mikroobide poolt põhjustatud hammast ümbritsevate kudede põletik, mille tagajärjel hävib hamba kinnituskudede süsteem ja luu, kuni hammas langeb välja. Parodontiidile eelneb alati gingiviit, kuid mitte igast gingiviidist ei...
Peavalu ja hambumus
Põhimõtted – Hambaarsti konsultatsioon on vajalik juhul, kui peavalu kaebaval patsiendil on • lõua liikumisega seoses olevaid vaevusi • lõua liikumisel häireid või helisid • palpatoorne valulikkus lõualiigestes või mälumislihastes...
Põhimõtted – Hambaarsti konsultatsioon on vajalik juhul, kui peavalu kaebaval patsiendil on • lõua liikumisega seoses olevaid vaevusi • lõua liikumisel häireid või helisid • palpatoorne valulikkus lõualiigestes või mälumislihastes...
Pemfigoidid
Suunähud esinevad harvemini kui pemfiguse korral. Villid on suured ja pinges ning tekivad punetavail aladel. See on ainukene vill, mida patsient saab arstile näidata kuna kogu epiteeli paksusega kaetud 2-6...
Suunähud esinevad harvemini kui pemfiguse korral. Villid on suured ja pinges ning tekivad punetavail aladel. See on ainukene vill, mida patsient saab arstile näidata kuna kogu epiteeli paksusega kaetud 2-6...
Punetised
(Rubella)
Nakatumine – Inkubatsiooniaeg 14–21 ööpäeva – Nakkavus algab ca 2 päeva enne sümptomite ilmumist ning kestab nädala. Isoleerida 6 ööpäeva lööbe algusest. -Lööbeks on mõnemillimeetrise läbimõõduga roosad laigud, mis võivad...
Nakatumine – Inkubatsiooniaeg 14–21 ööpäeva – Nakkavus algab ca 2 päeva enne sümptomite ilmumist ning kestab nädala. Isoleerida 6 ööpäeva lööbe algusest. -Lööbeks on mõnemillimeetrise läbimõõduga roosad laigud, mis võivad...
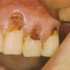
Pöördumatu hambanärvi põletik
Kui algul lihtsalt külmatundlik olnud hammas hakkab valutama järjest tugevamini, siis on tavaliselt tegemist hambanärvi pöördumatu põletiku ehk pulpiidiga.
Kui algul lihtsalt külmatundlik olnud hammas hakkab valutama järjest tugevamini, siis on tavaliselt tegemist hambanärvi pöördumatu põletiku ehk pulpiidiga.
Rauavaegus aneemia
WHO järgi loetakse aneemia määramisel hemoglobiini piirväärtusi: Lapsed ~ 110 g/l Naised ~120 g/l Rasedad ~ 110 g/l Mehed ~ 130 g/l Aneemia tüübid: Mikrotsütaarne (erütrotsüütide keskmine maht alla 80...
WHO järgi loetakse aneemia määramisel hemoglobiini piirväärtusi: Lapsed ~ 110 g/l Naised ~120 g/l Rasedad ~ 110 g/l Mehed ~ 130 g/l Aneemia tüübid: Mikrotsütaarne (erütrotsüütide keskmine maht alla 80...
Ravimiallergia huultel
Tekitajad – Kõige tavalisem on penitsilliiniallergia. Vaatamata sellele tekitab penitsilliin tõelise reaktsiooni ainult 5% nendest inimestest, kes arvavad olevat penitsilliini suhtes ülitundlikud. – Sulfaravimid tekitavad lööbeid (ka Stevens- Johnsoni sündroomi)...
Tekitajad – Kõige tavalisem on penitsilliiniallergia. Vaatamata sellele tekitab penitsilliin tõelise reaktsiooni ainult 5% nendest inimestest, kes arvavad olevat penitsilliini suhtes ülitundlikud. – Sulfaravimid tekitavad lööbeid (ka Stevens- Johnsoni sündroomi)...
Ravimite põhjustatud limaskesta kahjustused lastel
Põletikuvastased ravimid: antibiootikumid (penitsilliin), aspiriin, ibuprofeen jt. Hüperplaasiat ehk igeme liigakasvu põhjustavad tavaliselt ravimid Nt. Epilepsiaravimid, kaltsiumikanalite blokaatorid ja immunosupressandid. Suurenenud igemete veritsuse põhjuseks võib olla pikaaegne atsetüülsalitsüülhappe või antikoagulantide...
Põletikuvastased ravimid: antibiootikumid (penitsilliin), aspiriin, ibuprofeen jt. Hüperplaasiat ehk igeme liigakasvu põhjustavad tavaliselt ravimid Nt. Epilepsiaravimid, kaltsiumikanalite blokaatorid ja immunosupressandid. Suurenenud igemete veritsuse põhjuseks võib olla pikaaegne atsetüülsalitsüülhappe või antikoagulantide...
Retsidiveeruvad haavandid
Suu limaskesta retsidiveeruvad haavandid on 21% sagedased (20–25%-l inimestest). Haavandid võib jagada afti või herpese taolisteks.
Suu limaskesta retsidiveeruvad haavandid on 21% sagedased (20–25%-l inimestest). Haavandid võib jagada afti või herpese taolisteks.
Ruumipuudus eesmiste hammaste osas
Ruumipuuduses ja viltuselt seisvad esihambad on sagedaseim põhjus, miks lapsevanem ise oma lapse ortodontid juurde toob. Lõualuude hea asetuse korral ei ole varane ravi vaheldusvas hammaskonnas ruumipuuduse korrigeerimiseks enamasti näidustatud,...
Ruumipuuduses ja viltuselt seisvad esihambad on sagedaseim põhjus, miks lapsevanem ise oma lapse ortodontid juurde toob. Lõualuude hea asetuse korral ei ole varane ravi vaheldusvas hammaskonnas ruumipuuduse korrigeerimiseks enamasti näidustatud,...
Rühihäired rahulolekus ja liikumise ajal
Hamba-lõualuusüsteemi anomaaliate teket võib soodustada lapse keha pikaajaline või sage sundasend. Valet kehaasendit saab jälgida une ajal: laps magab kõhuli, nägu allapoole (näoli), kõrge peaalusega või rusikas põse all; mängu...
Hamba-lõualuusüsteemi anomaaliate teket võib soodustada lapse keha pikaajaline või sage sundasend. Valet kehaasendit saab jälgida une ajal: laps magab kõhuli, nägu allapoole (näoli), kõrge peaalusega või rusikas põse all; mängu...
Sarlakid
Sarlakid on lööbelistest laste nakkushaigustest ainus bakterite poolt tekitatud infektsioon; tekitajaks Streptococcus pyogenes. Lööve on erepunane ja oleks nagu mannateradega üle puistatud. Lööve puudub ninatiiva-suunurga kolmnurgas. Keele papillid on punakaslillad...
Sarlakid on lööbelistest laste nakkushaigustest ainus bakterite poolt tekitatud infektsioon; tekitajaks Streptococcus pyogenes. Lööve on erepunane ja oleks nagu mannateradega üle puistatud. Lööve puudub ninatiiva-suunurga kolmnurgas. Keele papillid on punakaslillad...
Seedetraktihaigused
Refluksile viitavad haigusnähud – Vaevus on seotud söömisega: rohke söömine, rasvane toit, šokolaad, kohv, kange alkohol ja hapud mahlad halvendavad olukorda. Sageli on leevenduseks piim ja antatsiidid. – Seisundit halvendavad...
Refluksile viitavad haigusnähud – Vaevus on seotud söömisega: rohke söömine, rasvane toit, šokolaad, kohv, kange alkohol ja hapud mahlad halvendavad olukorda. Sageli on leevenduseks piim ja antatsiidid. – Seisundit halvendavad...
Stevens-Johnsoni sündroom
Stevens-Johnsoni sündroom on haigus, mis kulgeb kõrge palavikuga ja nahal ning limaskestadel on villiline lööve. Raske süsteemne allergiline reaktsioon, mille iseloomulik lööve kaasneb naha ja limaskestade, sh suu limaskesta (suus),...
Stevens-Johnsoni sündroom on haigus, mis kulgeb kõrge palavikuga ja nahal ning limaskestadel on villiline lööve. Raske süsteemne allergiline reaktsioon, mille iseloomulik lööve kaasneb naha ja limaskestade, sh suu limaskesta (suus),...
Suu limaskesta haavandid
- Alati tuleb kontrollida hambaproteese. – Haavandi põhjuseks võib olla odontoloogiline infektsioon. – Igal juhul tuleb arvestada vähi võimalusega. Reeglina tuleb võtta biopsia haavanditest, mis kahe nädala jooksul ei parane....
- Alati tuleb kontrollida hambaproteese. – Haavandi põhjuseks võib olla odontoloogiline infektsioon. – Igal juhul tuleb arvestada vähi võimalusega. Reeglina tuleb võtta biopsia haavanditest, mis kahe nädala jooksul ei parane....
Suu limaskesta pigmentatsioon
– Normaalset pigmentatsiooni võib esineda tavaliselt igemete piirkonnas. Kui pigmentatsioon on rohke või teda tekib kiiresti, siis võib tegemist olla mõne organismi üldhaigusega, näit. Addisoni tõvega. – Teatud kauakestvad põletikulised...
– Normaalset pigmentatsiooni võib esineda tavaliselt igemete piirkonnas. Kui pigmentatsioon on rohke või teda tekib kiiresti, siis võib tegemist olla mõne organismi üldhaigusega, näit. Addisoni tõvega. – Teatud kauakestvad põletikulised...
Suu seeninfektsioonid
– Candida albicans on tavaline suuparasiit, mis esineb asümptomaatilisena 20–50%-l elanikkonnast. – Kliiniliselt algab seeninfektsioon siis, kui organismi vastupanuvõime langeb ja bakterite ning seente vaheline tasakaal häirub. Seega on seeninfektsioon...
– Candida albicans on tavaline suuparasiit, mis esineb asümptomaatilisena 20–50%-l elanikkonnast. – Kliiniliselt algab seeninfektsioon siis, kui organismi vastupanuvõime langeb ja bakterite ning seente vaheline tasakaal häirub. Seega on seeninfektsioon...
Suu- ja keelevalu
Eesmärgid – Hoolikalt suu limaskesta, keelt ja hambaid uurides otsitakse paikseid põhjusi. – Diagnoosida ravitavad süsteemsed haigused (B12-hüpovitaminoos, diabeet). – Kaebuse võimaliku põhjusena diagnoosida suukuivus (põhjuseks ravimid, nagu antikolinergikumid ja...
Eesmärgid – Hoolikalt suu limaskesta, keelt ja hambaid uurides otsitakse paikseid põhjusi. – Diagnoosida ravitavad süsteemsed haigused (B12-hüpovitaminoos, diabeet). – Kaebuse võimaliku põhjusena diagnoosida suukuivus (põhjuseks ravimid, nagu antikolinergikumid ja...
Suukuivus
Kõige tavalisem kaebus sülje hüpofunktsiooni korral on püsiv, terve päev kestev suukuivus. Selline seisund nõuab sagedat joomist. Inimesed ärkavad tihti keset öö ja on sunnitud võtma klaasi vett endaga voodisse....
Kõige tavalisem kaebus sülje hüpofunktsiooni korral on püsiv, terve päev kestev suukuivus. Selline seisund nõuab sagedat joomist. Inimesed ärkavad tihti keset öö ja on sunnitud võtma klaasi vett endaga voodisse....
Suunurga haavandid
Tavaliselt on põhjuseks naha pidev süljega niiskumine. • Hammaste puudumine või liiga madalad proteesid põhjustavad vanuritel suunurkade sügavaid volte • Imikutel sageli normaalne nähtus. Esineb sageli lastel, kel on punnis...
Tavaliselt on põhjuseks naha pidev süljega niiskumine. • Hammaste puudumine või liiga madalad proteesid põhjustavad vanuritel suunurkade sügavaid volte • Imikutel sageli normaalne nähtus. Esineb sageli lastel, kel on punnis...
Suured kõrvalekalded norm lõualuude kasvus – alalõug suur/väike, ülalõug suur/väike
-külgvaates Normiks on sirge profiil. Huuled ulatuvad nina ja lõuatsiotsa ühendava joone (nn. esteetilise joone) lähedale. Nõgus või kumer profiil viitab kõrvalekaldele lõualuude kasvus. Kõige sagedamini esinevad kõrvalekalded on ülalõua...
-külgvaates Normiks on sirge profiil. Huuled ulatuvad nina ja lõuatsiotsa ühendava joone (nn. esteetilise joone) lähedale. Nõgus või kumer profiil viitab kõrvalekaldele lõualuude kasvus. Kõige sagedamini esinevad kõrvalekalded on ülalõua...
Suurenenud süljenääre
-Kõrvasüljenäärme uni- või bilateraalse turse tekitajana tunda ära mumps. – Kui süljenäärme tursega kaasneb mäda eritumine näärmejuhast või mõni muu bakterinfektsiooni tunnus, tuleb alustada ravi antibiootikumidega. – Valuliku, hooti esineva...
-Kõrvasüljenäärme uni- või bilateraalse turse tekitajana tunda ära mumps. – Kui süljenäärme tursega kaasneb mäda eritumine näärmejuhast või mõni muu bakterinfektsiooni tunnus, tuleb alustada ravi antibiootikumidega. – Valuliku, hooti esineva...
Sügav hambumus või sügav kattumine eesmiste hammaste osas
Normaalse hambumuse puhul katavad ülemised eeshambad alumisi 1/3 krooni pikkuse ulatuses ning alumiste eeshammaste lõikeserv on kontaktis ülemiste lõikehammaste suulaepoolse pinnaga. Sügavhambumuse puhul katavad aga ülemised hambad alumisi lõikehambaid rohkem...
Normaalse hambumuse puhul katavad ülemised eeshambad alumisi 1/3 krooni pikkuse ulatuses ning alumiste eeshammaste lõikeserv on kontaktis ülemiste lõikehammaste suulaepoolse pinnaga. Sügavhambumuse puhul katavad aga ülemised hambad alumisi lõikehambaid rohkem...
Termilised kahjustused lapse suulimaskestal
Traumaatiline kahjustus lapse suulimaskestal võib tekkida: -esemega vigastades (laps topib mängides asju suhu), -kukkudes ja limaskesta hammastega vigastades -ortodontilised aparaadid hõõruvad limaskesta . - anesteesia puhul võib laps hammustada huulde/...
Traumaatiline kahjustus lapse suulimaskestal võib tekkida: -esemega vigastades (laps topib mängides asju suhu), -kukkudes ja limaskesta hammastega vigastades -ortodontilised aparaadid hõõruvad limaskesta . - anesteesia puhul võib laps hammustada huulde/...
Toitumishäirete avaldumine suus
Enamik avitaminoose on tänapäeval seotud vabatahtliku või sunnitud nälgimisega. Buliimikutel, kes sageli oksendavad täheldatakse hammaste intensiivset kulumist ja kaariese aktiisuse tõusu. Avitaminoos kujuneb reeglina ühe konkreetse vitamiini kestval, täielikul puudumisel...
Enamik avitaminoose on tänapäeval seotud vabatahtliku või sunnitud nälgimisega. Buliimikutel, kes sageli oksendavad täheldatakse hammaste intensiivset kulumist ja kaariese aktiisuse tõusu. Avitaminoos kujuneb reeglina ühe konkreetse vitamiini kestval, täielikul puudumisel...
Trombotsütopeenia
Trombotsüütide hulga langus alla 30000/mm³. Trombotsütopeenia (Tromb < 150 x 109/l) mehhanismiks võib olla • vähenenud tootmine luuüdis • suurenenud perifeerne tarbimine • ebatavaline kogunemine põrna.
Trombotsüütide hulga langus alla 30000/mm³. Trombotsütopeenia (Tromb < 150 x 109/l) mehhanismiks võib olla • vähenenud tootmine luuüdis • suurenenud perifeerne tarbimine • ebatavaline kogunemine põrna.
Tsükliline neutropeenia
Palavik, halb enesetunne, peavalu, halb enesetunne lümfisõlmede suurenemine tekib perioodiliselt iga 3-4 nädala tagant- seotud granulotsüütide hulga langusega perifeerses veres. Põletiku korral mäda puudumine (Ebatavaline)
Palavik, halb enesetunne, peavalu, halb enesetunne lümfisõlmede suurenemine tekib perioodiliselt iga 3-4 nädala tagant- seotud granulotsüütide hulga langusega perifeerses veres. Põletiku korral mäda puudumine (Ebatavaline)
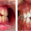
Turritavad ülemised lõikehambad
Ülemised eesmised hambad võivad olla liigselt ettepoole kaldunud mitmel põhjusel. - Hammaste huule poole kaldumine võib olla funktsionaalne ehk tingitud valedest harjumustest (suuhingamine, infantiilne neelamine), - kahjulikest harjumustest (pöidla, sõrme,...
Ülemised eesmised hambad võivad olla liigselt ettepoole kaldunud mitmel põhjusel. - Hammaste huule poole kaldumine võib olla funktsionaalne ehk tingitud valedest harjumustest (suuhingamine, infantiilne neelamine), - kahjulikest harjumustest (pöidla, sõrme,...
Tuulerõuged
(Varicella)
Tuulerõuged on esimene VZV infektsioon, mis tabab enamust lapsi. VZV on tavaline ka immunosupressiooniga patsientidel. Tuulerõuged rasedal ja sünnitajal – Kui ema nakatub tuulerõugetesse 0–5 päeva enne sünnitust või 2...
Tuulerõuged on esimene VZV infektsioon, mis tabab enamust lapsi. VZV on tavaline ka immunosupressiooniga patsientidel. Tuulerõuged rasedal ja sünnitajal – Kui ema nakatub tuulerõugetesse 0–5 päeva enne sünnitust või 2...
Valehambumus
Hammaste asendianomaaliad on tingitud tavaliselt arenguhäirest.
Hammaste asendianomaaliad on tingitud tavaliselt arenguhäirest.
Vähktõve ravi ja suuõõs
Tsütostaatikumide mõju suuõõnele – Tsütostaatikumid tekitavad sageli suuõõnes mööduvaid muutusi, sest rakkude jagunemine toimub seal kiiresti. • Stomatiit • Haavandid • Igemepõletikud • Mööduv süljeerituse vähenemine. – Haavandid võivad sekundaarselt...
Tsütostaatikumide mõju suuõõnele – Tsütostaatikumid tekitavad sageli suuõõnes mööduvaid muutusi, sest rakkude jagunemine toimub seal kiiresti. • Stomatiit • Haavandid • Igemepõletikud • Mööduv süljeerituse vähenemine. – Haavandid võivad sekundaarselt...
Ülalõuaurkepõletik
(SINUITIS MAXILLARIS)
Sinuiiti diagnoositakse ülemiste hingamisteede sümptomitega täiskasvanuil ja üle 4-aastastel lastel ultraheli abil. – Antibiootikumi määratakse ainult neile patsientidele, kellel on leitud ülalõuaurkes eritist. – Sinuiit on astmahaige seisundi halvenemise põhjus....
Sinuiiti diagnoositakse ülemiste hingamisteede sümptomitega täiskasvanuil ja üle 4-aastastel lastel ultraheli abil. – Antibiootikumi määratakse ainult neile patsientidele, kellel on leitud ülalõuaurkes eritist. – Sinuiit on astmahaige seisundi halvenemise põhjus....
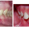
Ülemise hambakaare kitsenemine ehk tagumiste hammaste risthambumus
Hammustades on näha, et alumine hambakaar on laiem kui ülemine. Tagumine risthambumus võib olla kas mõlemapoolne või ühepoolne ja sageli hambakaarte keskjooned hammustades ei ühti. Tagumist risthambumust võib esineda 10...
Hammustades on näha, et alumine hambakaar on laiem kui ülemine. Tagumine risthambumus võib olla kas mõlemapoolne või ühepoolne ja sageli hambakaarte keskjooned hammustades ei ühti. Tagumist risthambumust võib esineda 10...
Ülemiste tsentraalsete lõikehammaste (intsisiivide) vahetumine. Retineerunud Intsisiiv
Ülemiste tsentraalsete lõikehammaste (intsisiivide) vahetumine. Retineerunud intsisiivid. Ülemised tsentraalsed esihambad lõikuvad orienteeruvalt 7-8-aastaselt. Enamasti lõikuvad samanimelised jäävhambad paaridena. Normaalne lõikumise järjekord 7, 5-aastselt: vt pilti
Ülemiste tsentraalsete lõikehammaste (intsisiivide) vahetumine. Retineerunud intsisiivid. Ülemised tsentraalsed esihambad lõikuvad orienteeruvalt 7-8-aastaselt. Enamasti lõikuvad samanimelised jäävhambad paaridena. Normaalne lõikumise järjekord 7, 5-aastselt: vt pilti
