Riskigrupid:
Kirjeldus
Refluksile viitavad haigusnähud– Vaevus on seotud söömisega: rohke söömine, rasvane toit, šokolaad, kohv, kange alkohol ja hapud mahlad halvendavad olukorda. Sageli on leevenduseks piim ja antatsiidid.
– Seisundit halvendavad kummardumine, tõstmine ja kitsad riided, samuti kõhuli lamamine.
– Kõrvetistega kaasnevad teised söögitorukaebused: valu rinnus, neelamishäired, röhatised, vedeliku refluks suhu.
– Sageli esineb refluksi all kannataval patsiendil ka teisi funktsionaalseid maohäireid, nagu kõhukinnisus, kõhupuhitus ja gaasivalud.
– Hingamisteede sümptomid aspiratsiooni tõttu.
Öised köhahood eriti vanuritel.
põhjustajaks ei pruugi olla ainult refluks
– Kõhuvalu ja hellus ülakõhus viitavad haavandtõvele või mõnele muule ülakõhu orgaanilisele haigusele.
– Koormusega kaasnev valu rinnus on sageli tingitud südamest. Vahel võib üks ja sama tegur mõjuda nii südame kui ka söögitoru sümptomitele. Nitraadid aitavad ka söögitorust tingitud valude korral. Refluks võib süvendada koronaartõve sümptomeid.
– Neelamisraskused kaasnevad primaarsete motoorikahäiretega.
Pildid
Seedetraktihaigused
Seedetraktihaigused
Diagnoos, sümptomid
Sümptomid
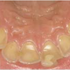
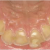
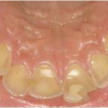
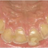
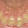
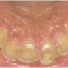
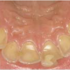
Mao ülehappesuse ja reflukshaiguse korral põhjustab suhu sattuv maohape lisaks limaskesta söövitamisele ka hammaste erosiooni (fotol näha maohappest põhjustatud ülemiste hammaste sisepinnna söövitus reflukshaigel).
Refluksi korral on neelu tagaseina limaskest punetav - see on tingitud happe ärritusest. Neid sümptome on kogenud hambaarstil kerge märgata ja suunata patsient vajadusel edasistele uuringutele oma pere- või eriarsti juurde.
Seedetrakti distaalsete osade haigused avalduvad enamjaolt ka suulimaskestal kas stomatiidi, aftide või haavanditena.
B-gupi vitamiinide puudus või nende häiritud imendumine seedetraktist avalduvad glossiidi või stomatiidina
Ravi
Refluksösofagiidi esmane ravi:– Noori, alla 45-aastasi patsiente võib kergete sümptomite korral ravida alginaatide, antatsiidide, sukralfaadi või H2-blokaatoriga.
– Kui haigusnähud ei taandu 3 nädala jooksul või algavad uuesti, siis on näidustatud esimese etapi uuringud. Kui sümptomite põhjus on leitud, kuid sümptomid tulevad pärast ravi lõppu tagasi, siis võib patsiendile kergendust toonud ravi uuesti alustada.
Ravi eesmärgiks on
– Vaevuste taandumine
– Endoskoopiliselt leitud põletiku leevendamine
– Uue ösofagiidi tekke ärahoidmine
– Komplikatsioonide ärahoidmine.
Eluviisi soovitused, muutused ja antatsiid
– Voodi peatsi tõstmine (vesivoodi pole sobiv)
– Kaalust allavõtmine
– Õhtul söömise vältimine
– Süüa sagedasti, aga vähe korraga
– Ärritavate toitude vältimine (tsitrusviljad, kanged alkoholid, tomat, kohv)
– Suitsetamisest loobumine
– Teatud ravimite vältimine (nitropreparaadid, kaltsiumiblokaatorid, antikolinergikumid, teofülliinipreparaadid)
– Vajadusel alginaadid või antatsiidid
Medikamentoosne ravi
Pikaajaline ravi
– Pikaajalises medikamentoosses preventiivses ravis on prootonpumba inhibiitorid osutunud efektiivseteks ja turvalisteks.
– Kirurgilist ravi (Nisseni fundoplikatsioon) vajab u. 10% refluksösofagiiti põdevaist patsientidest
Kirurgilise ravi näidustused on järgmised:
• Ösofagiit ei parane medikamentoosse raviga või kordub sageli.
• Ösofagiidi tüsistused: striktuurid, Barretti epiteel ja pidev ösofagiit, verejooks, rasked aspiratsioonisümptomid.
Suu ja hammaste ravi vastavalt vajadusele
Tõhustatud suuhaiguste ennetamine
Toitumine
•Söögikordade vahel ei tohi tarvitada hapusid mahlu ja puuvilju ega tavalist suhkrut sisaldavaid toiduaineid.
•Janu joogiks on vesi. Vesi ja mineraalvesi on hammastele ohutud.
Ksülitooliga närimiskumm, pastillid ja imemistabletid
•Pärast sööki ja söögikordade vahel on süljeerituse suurendamiseks hammaste seisukohalt parim vahend ksülitooliga närimiskumm.
•Viletsate hammastega inimesed nätsu närida ei saa. Närimiskummi asemel võib kasutada ksülitooliga maitsestatud imemistablette ja -pastille,
Tehissülg ja suukuivust vähendavad geelid
•Tehissüljed leevendavad patsientide vaevusi pikemaks ajaks kui mitmesugused joogid. Vajadusel võib neid kasutada pidevalt.
•Tehissülge võib valmistada retsepti alusel apteegis, kuid saadaval on ka mitmed tehases valmistatud tehissüljed.
•Tehissülje asemel võib suu limaskestale määrida antimikroobset geeli (Oralbalance®).
Suu hügieen
•Hambaid tuleb igal hommikul ja õhtul põhjalikult pesta pehme hambaharjaga või elektrihambaharjaga. Unustada ei tohi hambavahesid.
•Lisaks fluori sisaldavale hambapastale on kasulik tarvitada ka mõnd lokaalset vahendit, eriti fluori sisaldavaid imemistablette või närimiskummi. Kaaries riskirühma patsientidele igapäevased suuloputused 0,05% NaF-lahusega.
•Vältida tuleb alkoholi sisaldavat suuvett.
•käima hambaarsti vastuvõtul tavalisest sagedamini, iga 3–6 kuu järel.
Limaskesta ärrituse ja haavanditele võib kasutada:
Aftamed®geel mis on hüaluroonhappe erivorm ning üks asendamatuid looduslikke komponente suu limaskestas. Kuna lahus kinnitub suurepäraselt limaskestadele, jääb kahjustustele kaitsev kattekiht, mis vaigistab valu otsekohe. Pikema aja jooksul eralduv hüaluroonhape rahustab ja uuendab kahjustunud kudesid ning haavandid paranevad seetõttu kiiremini
Antimikroobset niisutavat suu geeli (BIOXTRA, BIOTENE ORAL BALANCE -GEEL jne )
•kaitseb kuivi ja tundlikke suu limaskestasid ja igemeid.
•Toode sisaldab ensüüme, Aloe verat ja ksülitooli ( ei sisalda gluteeni, nii et see sobib ka tsöliaakiat põdevatele.)
•Sobib kui on vähenenud süljeeritus ja aftid
•manustatakse 2-3 korda päevas keele ja kantakse suus laiali,
•Osa-või totaalproteesid kasutav isik kannab geeli proteesi siseküljele.
Antibakteriaalne klooriheksidiinigeeli
•neile kellel sülje Mutans-streptokokkitase on väga kõrge
•ei kasutata raseduse ja rinnaga toitmise ajal,
•Kloorheksidiin võib põhjustada ka allergilisi reaktsioone.
•Piimatoodete ja geeli kasutamise vahel peab olema vähemalt üks tund, sest piima kaltsiumi nõrgendab kloorheksidiinin efektiivsust.
•Fluoriidi sisaldava hambapasta ja klooriheksidiinigeelin kasutamise vahel peab olema paar tundi, sest naatriumlaurüülsulfaat kahjustab kloorheksidiini mõju.
•kloorheksidiingeeli kuuri ajal pestakse hambad hambapastata.
Kaltsiumi, fosfaati ja fluori sisaldav geel (Cervitec Fluor Protector Gel, GC Tooth Mousse)
•parandab suu mineraalitasakaalu ja aitab neutraliseerida hambakatu pH
•sobib inimestele, kellel on agressiivne kaaries, erosioon, kiirenenud hammaste kulumist või puudulik süljeeritus.
•sobib refluks ja pea -kaelapiirkonna kiiritusravi patsiendile,
•manustatakse õhtul või hommikul pärast hammaste pesu hammaste pinnale. ( ei sobi piimaproteiiniallergiaga)
Viited
http://www.e-ope.ee/_download/euni_repository/file/2518/hambaarstilt_perearstile_materjalid.pdfhttp://medicina.bestit.ee/bw_client_files/medicina...
