Hambarobot

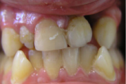
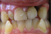
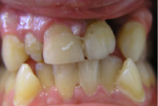
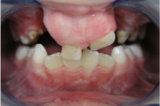
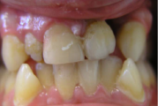
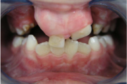
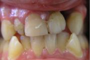
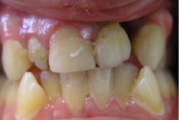
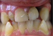
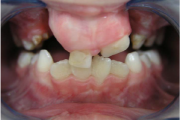
Huule-suulaelõhe enne ja pärast operatsiooni
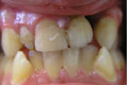
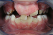
Huule-suulaelõhe enne ja pärast operatsiooni
pilt pilt pilt pilt pilt pilt pilt pilt
NB! Meie leht kasutab küpsiseid (cookies) veebiliikluse analüüsimiseks ning kasutajakogemuse parandamiseks. Jätkates veebilehe kasutamist, nõustud küpsiste salvestamisega sinu arvutisse.