Hambarobot

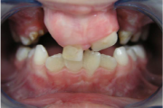
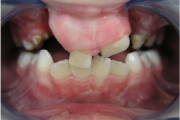
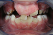
Ühepoolse lõhega lapse hambumus (puudub hammas lõhe piirkonnas).
Ühepoolse lõhega lapse hambumus (puudub hammas lõhe piirkonnas).
pilt pilt pilt pilt pilt pilt pilt pilt
NB! Meie leht kasutab küpsiseid (cookies) veebiliikluse analüüsimiseks ning kasutajakogemuse parandamiseks. Jätkates veebilehe kasutamist, nõustud küpsiste salvestamisega sinu arvutisse.