Huule-suulaelõhe
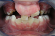
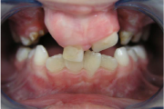
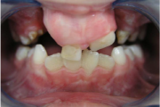
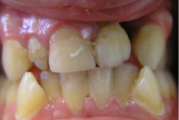
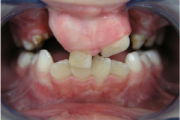
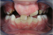
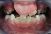
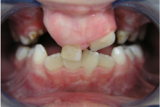
Huule-suulaelõhe ehk rahvakeeli jänesemokk on sünnidefekt, mis tekib loote arengu käigus. Tavaliselt arenevad suu ja nina välja 6. ja 12. nädala vahel. Mõnel lapsel ei kasva aga osa huulest ja suulaest kokku. Kuna huuled ja suulagi arenevad erinevalt, võib lapsel olla lõhenenud huul, Loe edasi »