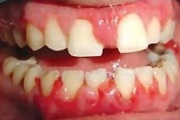
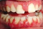
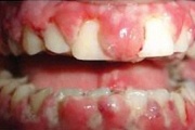
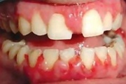
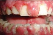
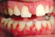
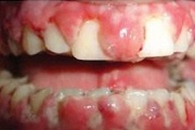
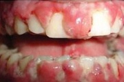
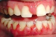
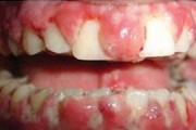
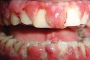
ANUG (äge nekrotiseeruv haavandiline gingiviit/parodontiit)
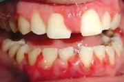
Äge nekrotiseeruv haavandiline gingiviit (ANUG) või nekrootiline haavandiline gingiviit (NUG) on nekrootiline bakterite poolt põhjustatud infektsioosne igeme haigus, mille korral põletikust on haaratud hammast ümbritsev ige ja kahjustus ei ulatu teiste parodondi kudedeni. Põletiku arenedes Loe edasi »
Sümptomid:
- igemed veritsevad (19)
- igemed punetavad (21)
- palavik kuni 38 °C (15)
- palavik üle 38 °C (4)
- igemed on tursunud/vohavad (17)
- puudulik suuhügieen (5)
- suitsetamine (5)
- stress (6)
- suurenenud süljevool (3)
- igemetaskust eritub mäda (3)
- halb hingeõhk / suu haiseb (12)
- halb maitse suus (12)
- valulikkus söömisel (29)
- haavandid (18)
- igemed on tumepunased (10)
- metalli maitse suus (2)
- haavandid hammaste vahel
- immuunpuudulikkus
- suurenenud lümfisõlmed kaelal (6)
- vaegtoitumine (2)