Hambarobot

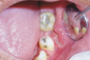
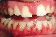
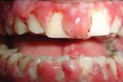
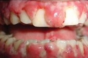
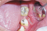
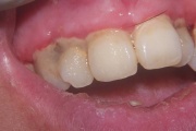
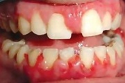
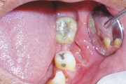
ANUG' ist tingitud igemete punetus, turse ja errosioon
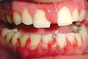
ANUG' ist tingitud igemete punetus, turse ja errosioon
Sümptomid:
  • igemed veritsevad (19)
  • igemed punetavad (21)
  • palavik kuni 38 °C (15)
  • palavik üle 38 °C (4)
  • igemed on tursunud/vohavad (17)
  • puudulik suuhügieen (5)
  • suitsetamine (5)
  • stress (6)
  • suurenenud süljevool (3)
  • igemetaskust eritub mäda (3)
  • halb hingeõhk / suu haiseb (12)
  • halb maitse suus (12)
  • valulikkus söömisel (29)
  • haavandid (18)
  • igemed on tumepunased (10)
  • metalli maitse suus (2)
  • haavandid hammaste vahel
  • immuunpuudulikkus
  • suurenenud lümfisõlmed kaelal (6)
  • vaegtoitumine (2)
pilt pilt pilt pilt pilt pilt
NB! Meie leht kasutab küpsiseid (cookies) veebiliikluse analüüsimiseks ning kasutajakogemuse parandamiseks. Jätkates veebilehe kasutamist, nõustud küpsiste salvestamisega sinu arvutisse.