Riskigrupid:
Kirjeldus
Äge nekrotiseeruv haavandiline gingiviit (ANUG) või nekrootiline haavandiline gingiviit (NUG) on nekrootiline bakterite poolt põhjustatud infektsioosne igeme haigus, mille korral põletikust on haaratud hammast ümbritsev ige ja kahjustus ei ulatu teiste parodondi kudedeni.Põletiku arenedes sügavamatesse parodondi kudedesse, nimetatakse haigust "nekrootiline haavandiline parodontiit" (NUP).
Üldjuhtudel areneb, kui organismi vastupanuvõime on järsult langenud. Haigus võib esineda igas vanuses, 0,1-10% elanikkonnast
Suurem eelsoodumus on inimestel:
- kellel on halb suuhügieen
- kes suitsetavad
- kes on stressis
- kelle on nõrgenenud immunsüsteem (rasedus, diabeet, HIV, leukeemia või isegi gripp)
Pildid
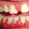
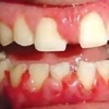
ANUG (äge nekrotiseeruv haavandiline gingiviit/parodontiit)
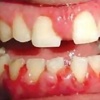
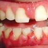
ANUG (äge nekrotiseeruv haavandiline gingiviit/parodontiit)
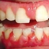
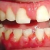
ANUG (äge nekrotiseeruv haavandiline gingiviit/parodontiit)
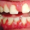
ANUG (äge nekrotiseeruv haavandiline gingiviit/parodontiit)
ANUG kahjustused kõva suulael
ANUG' ist tingitud igemete punetus, turse ja errosioon
ANUG'ist tingitud haavand HIV patsiendil
Etioloogia
Haigust põhjustab bakteriaalne infektsioon, milles olulist rolli etendavad anaeroobid nagu P. intermedia, Fusobacterium samuti spiroheedid- Borrelia ja Treponema.Kui 1980ndate lõpus-1990ndate alguses arvati, et haigus on HIV tagajärg ja seda nimetati HIV-ga seotud periodontiidiks, siis tänaseks päevaks on selgunud, et ANUG’i sage esinemine HIV haigetel on tingitud nende immunsüsteemi puudulikkusest
Diagnoos, sümptomid
Sümptomid
- igemed veritsevad (19)
- igemed punetavad (21)
- palavik kuni 38 °C (15)
- palavik üle 38 °C (4)
- igemed on tursunud/vohavad (17)
- puudulik suuhügieen (5)
- suitsetamine (5)
- stress (6)
- suurenenud süljevool (3)
- igemetaskust eritub mäda (3)
- halb hingeõhk / suu haiseb (12)
- halb maitse suus (12)
- valulikkus söömisel (29)
- haavandid (18)
- igemed on tumepunased (10)
- metalli maitse suus (2)
- haavandid hammaste vahel
- immuunpuudulikkus
- suurenenud lümfisõlmed kaelal (6)
- vaegtoitumine (2)
- elutingimustest
- toitumisharjumustest
- suitsetamise
- töökohast ja erialast
- puhkeaeg
- HIV riskifaktori hindamist
- psühhosotsiaalseid parameetreid (stress, depressioon)
Suuväliselt uurida:
- kaasuvaid nahakahjustusi
- kehatemperatuuri
- teostada lümfisõlmede palpatsioon (tähelepanu pöörata suurenenud alalõua ja submandibulaarsete lümfisõlmede olemasolule)
Suusiseselt hinnata:
- NUG sümptomite olemasolu
- halitoos
Kliiniline pilt:
- Valkjas-kollakas–hallikas katt igeme serval (pseudomembraanid)
- Interdentaalsete papillide nekroos
- Märkimisväärne igemete veritsemine (palju rohkem kui gingiviidi või parodontiidi korral)
- Väga valusad igemed
- Hallitoos e. ebameeldiv hingeõhk
- Rohke süljeeritus
- Metalli maitse suus
- Haavandid hammaste vahel
- Lümfadeniit
- Intoksikatsiooninähud (üldine halb enesetunne, kõrge kehatemperatuur)
Kui patsient õigeaegselt ravi ei saa, ei piirne nekroos igemetega vaid läheb üle allolevale alveolaarluule, kujuneb välja nekrotiseeruv parodontiit.
Ravi
Raviks on kõrvuti üldhaiguse raviga ladestuste eemaldamine hammastelt ja haavandunud igemetepuhastamine järgneva epitelisatsiooni soodustava ja antibakteriaalse raviga.
I. Ägeda põletiku allasurumine. Kroonilise haiguse ravi.
II. Üldiste sümptomite leevendamine: üldine intoksikatsioon, palavik.
III. Üldtervise, mis soodutas igemete probleeme, korrektsioon.
Antibiootikumid:
Metronidasooli või amoksitsilliin on kõige sagedamad ANUG ravis kasutatavad antibiootikumid.
Amoksitsilliin ei sobi inimestele, kes on allergilised penitsilliinile. Samuti võib Amoksitsilliin vähendada rasestumisvastaste tablettide toimet, seega tuleks ravikuuri jooksul kasutada täiendavaid rasestumisvastaseid vahendeid.
Metronidasooli manustamise ajal ja ka 48 tundi peale ravikuuri lõppu tuleb vältida alkoholi tarvitamist!
Metronidasool ja amoksitsilliin võivad põhjustada ka järgmisi kõrvaltoimeid:
- iiveldus (halb enesetunne)
- oksendamine
- kõhulahtisus
Haavanditest tuleneva valu ja ebamugavustunne vähendamiseks võib käsikäes kliinilise raviga määrata patsiendile ka käsimüügis olevaid valuvaigisteid nagu paratsetamool ja ibuprofeen.
Patsientile võib olla näidustatud ka antibakteriaalse suuvee kuur:
- 3% vesinikperoksiid 1:1 vahekorras veega. Iga 2h 1min jooksul 7 päeva.
- Kloorheksidiin 0,2%
Seejuures tuleb jälgid, et suuvesi ei sisaldaks alkoholi, millel on limaskestasid kuivatav toime. Kloorheksidiiniga suuveed ei sobi naistele, kes on rasedad või imetavad.
Samuti tuleb teada, et sellised suuveed võivad hammastele tekitada pruuni värvuse, mis on poleerimise teel kuuri lõppedes siiski eemaldatav.
Kloorheksidiiniga suuvee kasutamisel tuleb patsiendile soovitada ka suuveega sobiv hambapasta, vastasel juhul võivad mõned hambapasta koostisosad pärssida kloorheksidiini toimet.
Sellist suuvett võib kasutada vaid spetsialisti soovitusel ja teatud kindla ajaperioodi!
Nii nagu kõigi igemehaiguste korral, tuleb ka ANUG’iga vaatamata ebameeldivus tundele ja valule jätkata või sisse viia hea suuhügieen. Kuna erinevalt teistest igemepõletiku vormidest võib ANUG’iga kaasneda valulikud haavandit, soovitada patsiendile väga pehme hambahari (extra soft) ning vältida kuni paranemiseni elektrilist hambaharja.
Haiguse kulgu ja ravitulemust raskendavad suitsetamine ja vaeg toitumine
Õigeaegse ravita, võib infektsioon põhjustada kiiret parodondi kudede hävinemist ja levida nekrootilise stomatiidi vormis teistesse näo ja kolju kudedesse nagu põsed, huuled või lõualuu.
Seisund on eriti ohtlik nõrgenenud immuunsüsteemiga inimeste puhul.
Järelkontroll
Esimene järelkontroll 1 kuu peale ravi lõppu, mille käigus:- patsiendi hinnang esinenud kaebustele ja muutusele suutervises
- vajadusel 0,05 % kloorheksidiini ja CPC sisaldusega suuveega kodused suu loputused
- ladestuste eemaldmine
- patsiendi teavitamine vajadusest teostada õigeagselt regulaarsed raviskeemiga määratud järelkontrolli menetlused.
Järelkontrollide ehk toetava paroravi eesmärk on haiguse dünaamika jälgimine, patsientide jätkuv
motiveerimine ning vajalike ravimenetluste teostamine.
Prognoos
Õigeaegse, kvaliteetse raviga ning kaasuvate üldhaiguste ja koduse suuhügieeni ning võimalike kahjulike harjumuste kontrolli alla saamisel on raviprognoos hea.Õigeaegse ravi puudumisel võib ANUG põhjustada tõsisemaid tüsistusi. Põletik võib levida üle kogu suu ja ka hambaid ümbritsevasse alveolaar luusse, mis omakorda võib põhjustada:
- hammaste vaheliste igemete hävinemist
- igemetel ulatuslikke ja lahtiseid haavandeid
- hammaste kaotust
Kui ANUG esmakordsel esinemisel jääb korralikult ravimata suureneb tõenäosus korduv haigestumiseks, mis omakorda võib põhjustada:
halba hingeõhku (halitoos)
veritsevaid igemed
taandunud igemepiiri
Väga harvadel juhtudel võib ANUG viia seisundini, mida kutsutakse gangreeniks. Ravimata ANUG’ist põhjustatud gangreeni tüüpi tuntakse noma’na.
Gangrenoosse vormi korral esineb kudede kärbumist nii huultel kui põskedel. Ravi on kirurgiline surnud kudede eemaldamine.
Noma ohustab tavaliselt ainult neid inimesed, kellel on:
- väga nõrk immuunsüsteem, näiteks HIV ja AIDS haiged
- on alatoidetud ja ei söö piisavalt organismi toimimiseks vajalikke toiduaineid
Viited
http://www.e-ope.ee/_download/euni_repository/file/2518/hambaarstilt_perearstile_materjalid.pdfhttp://www.perio.org/resources-products/pdf/863.pd...
http://www.nhsdirect.wales.nhs.uk/encyclopaedia/g/...
http://www.drpulp.com/2012/04/how-to-treat-acute-n...
http://www.hivdent.org/_picturegallery_/_picturega...
http://www.health-pic.com/acute-necrotizing-ulcera...
http://doctorspiller.com/meth_mouth.htm
