Hambarobot

Uued tooted e. ribad
Uued tooted e. ribad
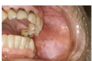
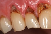
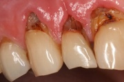
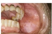
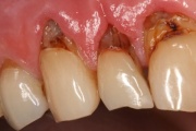
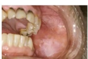
pilt pilt pilt pilt pilt pilt pilt pilt pilt pilt pilt
NB! Meie leht kasutab küpsiseid (cookies) veebiliikluse analüüsimiseks ning kasutajakogemuse parandamiseks. Jätkates veebilehe kasutamist, nõustud küpsiste salvestamisega sinu arvutisse.