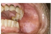
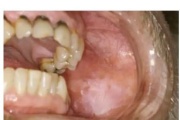
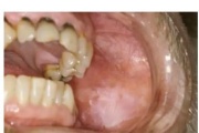
Suitsuvabad tubakatooted (Nuusktubakas ehk snuff, Huuletubakas ehk snus, Närimistubakas, Gutka, Beetel, Kreemjas nuusktubakas)
Maailma Tervishoiuorganisatsiooni (MTO) määratluse kohaselt on tervis täieliku kehalise, vaimse ja sotsiaalse heaolu seisund, mitte haiguste ja tervisehäirete puudumine. Nii üksikisiku kui kogu rahvastiku tervist mõjutavad mitmesugused tegurid. MTO 1980. aastate kontseptsiooni järgi mõjutab Loe edasi »
Sümptomid:
- hambakaela tundlikkus (2)
- hambakaela V-defekt (2)
- igemed veritsevad (19)
- igemed punetavad (21)
- igemetel on valged laigud (4)
- hambas on auk (9)
- igemed on tursunud/vohavad (17)
- igemepiir on taandunud (3)
- limaskesta pindmine söövitus (6)
- igemealune hambakivi (4)
- halb hingeõhk / suu haiseb (12)
- igemed on tumepunased (10)