Hambarobot

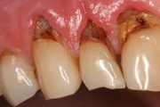
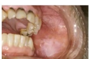
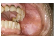
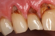
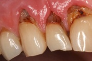
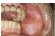
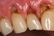
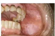
Närimistubakatarvitaja suulimaskest muutub paksemaks ja tekivad valged laigud, mis võivad olla kas
Närimistubakatarvitaja suulimaskest muutub paksemaks ja tekivad valged laigud, mis võivad olla kas
pilt pilt pilt pilt pilt pilt pilt pilt pilt pilt pilt
NB! Meie leht kasutab küpsiseid (cookies) veebiliikluse analüüsimiseks ning kasutajakogemuse parandamiseks. Jätkates veebilehe kasutamist, nõustud küpsiste salvestamisega sinu arvutisse.