Hambarobot

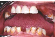
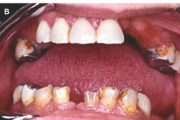
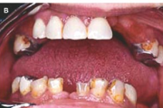
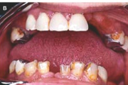
Sjöreni sündroomiga kaasnev suukuivus
Sjöreni sündroomiga kaasnev suukuivus
pilt pilt pilt
NB! Meie leht kasutab küpsiseid (cookies) veebiliikluse analüüsimiseks ning kasutajakogemuse parandamiseks. Jätkates veebilehe kasutamist, nõustud küpsiste salvestamisega sinu arvutisse.