Sjögreni sündroom
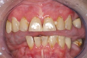
Sjögreni sündroomi võimalusele mõeldakse silmade ja suu kuivuse all kannatavatel patsientidel. Süsteemne haigus, mida iseloomustab kõigi eksokriinsete näärmete talitluse puudulikkus kroonilise põletikulise destruktsiooni tõttu. Keratokonjunktiviit Kserostoomia Polüartriit Loe edasi »