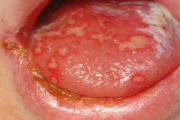
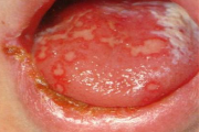
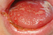
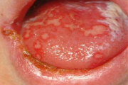
Herpes simplex
Primaarinfektsioon – Umbes 99% juhtudest on kliinilised sümptomid suhteliselt vähesed või puuduvad täielikult. – Esmane nakatumine toimub varases lapseeas, harvemini noorukieas. – Umbes1%-l esineb primaarinfektsioon kõrge palavikuga ägeda stomatiidina, kus nii igemetel kui ka mujal suu Loe edasi »
Sümptomid:
- kurguvalu (6)
- igemed punetavad (21)
- uimasus (2)
- palavik kuni 38 °C (15)
- igemed on tursunud/vohavad (17)
- igemed on valulikud (19)
- ei taha süüa (13)
- limaskestal erepunane laik või villid (11)
- haavand limaskestal (10)
- suulimaskesta villid (6)
- kiiresti purunevad villid (3)
- suurenenud süljevool (3)
- halb hingeõhk / suu haiseb (12)
- valulikkus söömisel (29)
- haavandid (18)