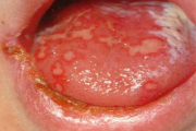
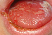
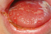
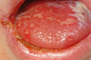
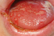
Herpes simplex
Primaarinfektsioon – Umbes 99% juhtudest on kliinilised sümptomid suhteliselt vähesed või puuduvad täielikult. – Esmane nakatumine toimub varases lapseeas, harvemini noorukieas. – Umbes1%-l esineb primaarinfektsioon kõrge palavikuga ägeda stomatiidina, kus nii igemetel kui ka mujal suu Loe edasi »
            Sümptomid:
			
	- kurguvalu (6)
 - igemed punetavad (21)
 - uimasus (2)
 - palavik kuni 38 °C (15)
 - igemed on tursunud/vohavad (17)
 - igemed on valulikud (19)
 - ei taha süüa (13)
 - limaskestal erepunane laik või villid (11)
 - haavand limaskestal (10)
 - suulimaskesta villid (6)
 - kiiresti purunevad villid (3)
 - suurenenud süljevool (3)
 - halb hingeõhk / suu haiseb (12)
 - valulikkus söömisel (29)
 - haavandid (18)