Parodontiit
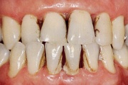
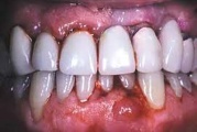
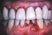
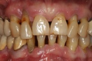
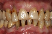
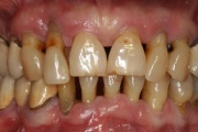
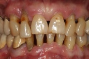
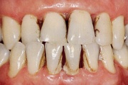
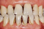
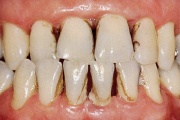
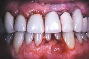
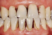
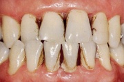
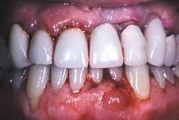
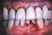
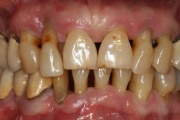
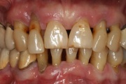
Parodontiit on mikroobide poolt põhjustatud hammast ümbritsevate kudede põletik, mille tagajärjel hävib hamba kinnituskudede süsteem ja luu, kuni hammas langeb välja. Parodontiidile eelneb alati gingiviit, kuid mitte igast gingiviidist ei pruugi areneda parodontiit. Parodontiit mõjutab kogu Loe edasi »
Sümptomid:
- igemed veritsevad (19)
- igemed punetavad (21)
- igemed on tursunud/vohavad (17)
- igemed on valulikud (19)
- igemepiir on taandunud (3)
- luu destruktsioon (5)
- hammaste asukoha muutus (5)
- vertikaalne luukadu (2)
- horisontaalne luukadu (3)
- hamba kinnitussidemete kadu (3)
- puudulik suuhügieen (5)
- igemepealne hambakivi (5)
- igemealune hambakivi (4)
- suitsetamine (5)
- stress (6)
- halvasti kontrollitud diabeet
- vahed hammaste vahel (5)
- hammaste tundlikkus (9)
- tahkele toidule pehmema eelistamine (5)
- puuduvad hambad/hammas (4)
- igemetaskust eritub mäda (3)
- parodontaalne abstsess (2)