Hambarobot

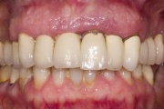
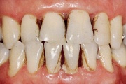
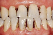
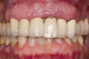
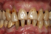
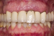
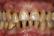
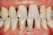
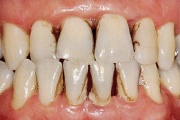
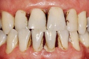
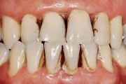
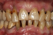
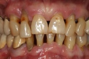
Sümptomid:
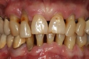
  • igemed veritsevad (19)
  • igemed punetavad (21)
  • igemed on tursunud/vohavad (17)
  • igemed on valulikud (19)
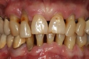
  • igemepiir on taandunud (3)
  • luu destruktsioon (5)
  • hammaste asukoha muutus (5)
  • vertikaalne luukadu (2)
  • horisontaalne luukadu (3)
  • hamba kinnitussidemete kadu (3)
  • puudulik suuhügieen (5)
  • igemepealne hambakivi (5)
  • igemealune hambakivi (4)
  • suitsetamine (5)
  • stress (6)
  • halvasti kontrollitud diabeet
  • vahed hammaste vahel (5)
  • hammaste tundlikkus (9)
  • tahkele toidule pehmema eelistamine (5)
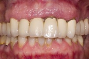
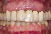
  • puuduvad hambad/hammas (4)
  • igemetaskust eritub mäda (3)
  • parodontaalne abstsess (2)
pilt pilt pilt
NB! Meie leht kasutab küpsiseid (cookies) veebiliikluse analüüsimiseks ning kasutajakogemuse parandamiseks. Jätkates veebilehe kasutamist, nõustud küpsiste salvestamisega sinu arvutisse.