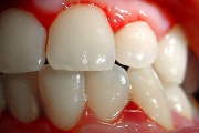
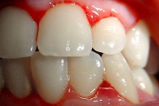
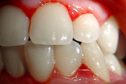
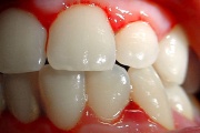
Krooniline gingiviit
Krooniline gingiviit, mida seostatakse katu kogunemisega, esineb enamasti ja on väga tavaline täiskasvanud populatsioonis ning kujuneb välja peale2-3 nädalast katu ladestumist igemepiirile. Nii nagu on erinevad kõik inimesed on ka igemehaiguste arenemine, nende tunnused ja haiguse Loe edasi »
            Sümptomid:
			
	- igemed veritsevad (19)
 - igemed punetavad (21)
 - igemed on tursunud/vohavad (17)
 - igemed on valulikud (19)
 - puudulik suuhügieen (5)
 - igemepealne hambakivi (5)
 - suitsetamine (5)
 - stress (6)
 - hammaste tundlikkus (9)
 - halb hingeõhk / suu haiseb (12)
 - halb maitse suus (12)
 - valulikkus söömisel (29)
 - haavandid (18)
 - igemed on tumepunased (10)
 - igemed läikivad (3)
 - pseudotaskud (2)