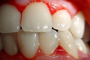
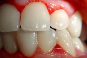
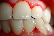
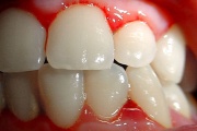
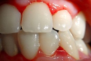
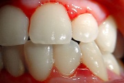
Krooniline gingiviit
Krooniline gingiviit, mida seostatakse katu kogunemisega, esineb enamasti ja on väga tavaline täiskasvanud populatsioonis ning kujuneb välja peale2-3 nädalast katu ladestumist igemepiirile. Nii nagu on erinevad kõik inimesed on ka igemehaiguste arenemine, nende tunnused ja haiguse Loe edasi »
Sümptomid:
- igemed veritsevad (19)
- igemed punetavad (21)
- igemed on tursunud/vohavad (17)
- igemed on valulikud (19)
- puudulik suuhügieen (5)
- igemepealne hambakivi (5)
- suitsetamine (5)
- stress (6)
- hammaste tundlikkus (9)
- halb hingeõhk / suu haiseb (12)
- halb maitse suus (12)
- valulikkus söömisel (29)
- haavandid (18)
- igemed on tumepunased (10)
- igemed läikivad (3)
- pseudotaskud (2)