Hambarobot

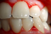
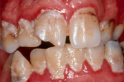
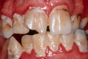
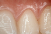
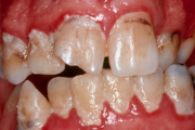
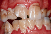
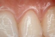
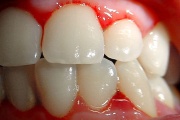
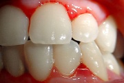
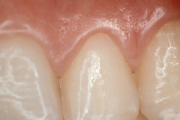
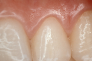
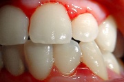
algav gingiviit
algav gingiviit
Sümptomid:
  • igemed veritsevad (19)
  • igemed punetavad (21)
  • igemed on tursunud/vohavad (17)
  • igemed on valulikud (19)
  • puudulik suuhügieen (5)
  • igemepealne hambakivi (5)
  • suitsetamine (5)
  • stress (6)
  • halb hingeõhk / suu haiseb (12)
  • halb maitse suus (12)
  • valulikkus söömisel (29)
  • haavandid (18)
  • igemed on tumepunased (10)
  • igemed läikivad (3)
  • pseudotaskud (2)
pilt pilt pilt pilt pilt pilt
NB! Meie leht kasutab küpsiseid (cookies) veebiliikluse analüüsimiseks ning kasutajakogemuse parandamiseks. Jätkates veebilehe kasutamist, nõustud küpsiste salvestamisega sinu arvutisse.