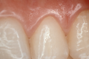
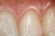
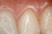
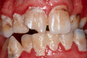
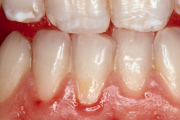
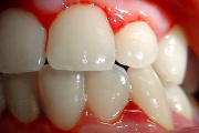
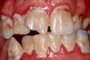
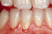
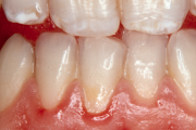
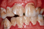
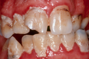
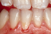
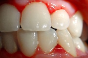
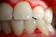
Gingiviit ehk igemepõletik
Gingiviit on hammast ümbritseva igeme põletikuline protsess, mis on tingitud hambakatu kogunemisest ning mis kujuneb välja ebasoodsate lokaalsete ja üldiste faktorite toimel, kusjuures on säilinud igeme terviklik kinnitus hambapinnale ja alveolaarluu ei ole põletikust haaratud. Tüüpiline on Loe edasi »
Sümptomid:
- igemed veritsevad (19)
- igemed punetavad (21)
- igemed on tursunud/vohavad (17)
- igemed on valulikud (19)
- puudulik suuhügieen (5)
- igemepealne hambakivi (5)
- suitsetamine (5)
- stress (6)
- halb hingeõhk / suu haiseb (12)
- halb maitse suus (12)
- valulikkus söömisel (29)
- haavandid (18)
- igemed on tumepunased (10)
- igemed läikivad (3)
- pseudotaskud (2)