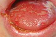
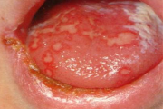
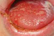
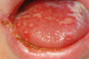
Lapse stomatiit
Tekitajad ja kliiniline pilt Gingivostomatiit – Tekitaja herpessimplex-viirus – Primaarinfektsioon, mille üldnähtudeks on palavik, halb enesetunne ja peavalu. – Herpeseville leidub põskede limaskestal, huultel ja keelel, sageli lõhkevad need kiiresti ja jätavad väikese erosiooni. – Loe edasi »