Hambarobot

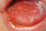
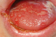
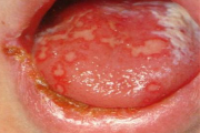
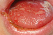
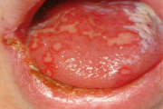
Vesikulaarne stomatiit ehk käsi, suu-ja sõrataud suus
Vesikulaarne stomatiit ehk käsi, suu-ja sõrataud suus
pilt pilt pilt
NB! Meie leht kasutab küpsiseid (cookies) veebiliikluse analüüsimiseks ning kasutajakogemuse parandamiseks. Jätkates veebilehe kasutamist, nõustud küpsiste salvestamisega sinu arvutisse.